Archive for the ‘Casos clínicos’ Category

posted by on Casos clínicos

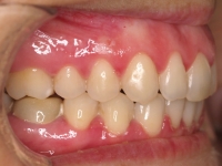
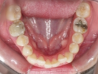
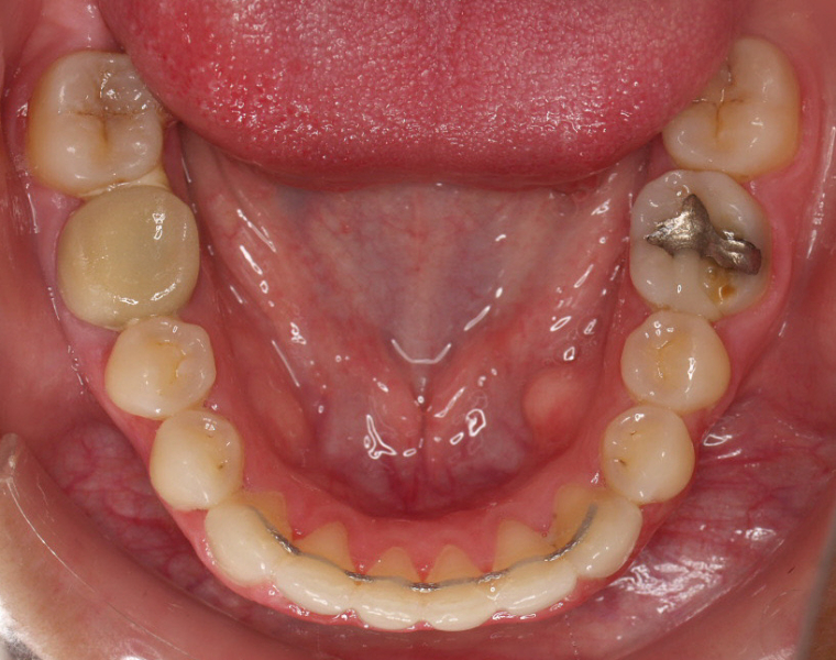
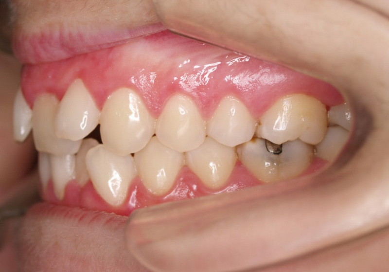
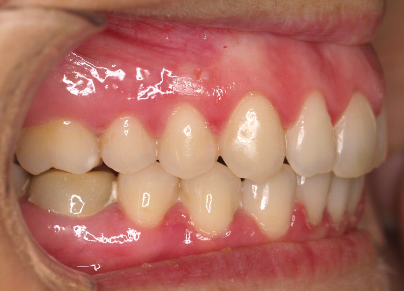
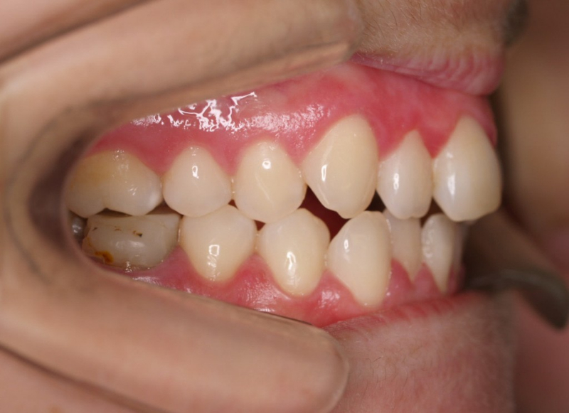
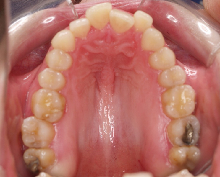
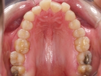
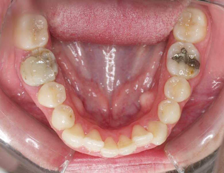
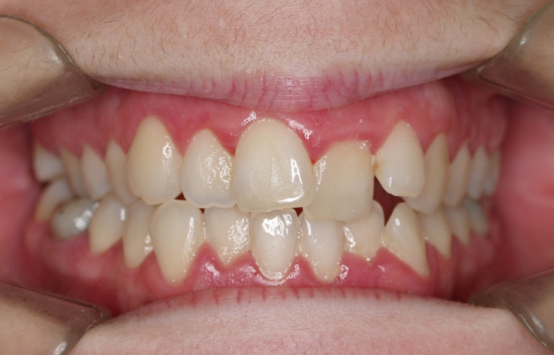
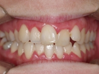
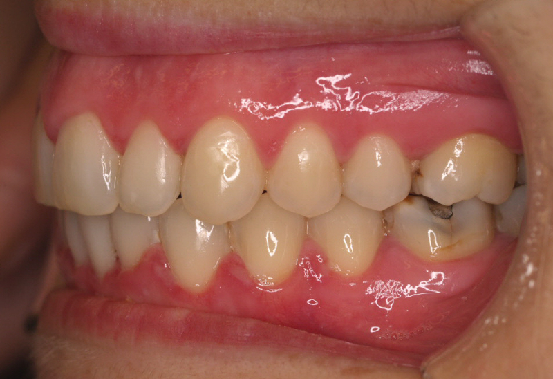
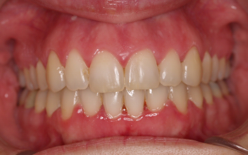
Caso del día

May
2012
15

posted by on Casos clínicos

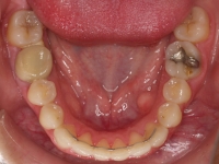
Premolar mandibular incluido + fenestración

45 incluido

Radiografía de final de tratamiento