Archive for the ‘Casos clínicos’ Category
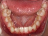
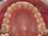
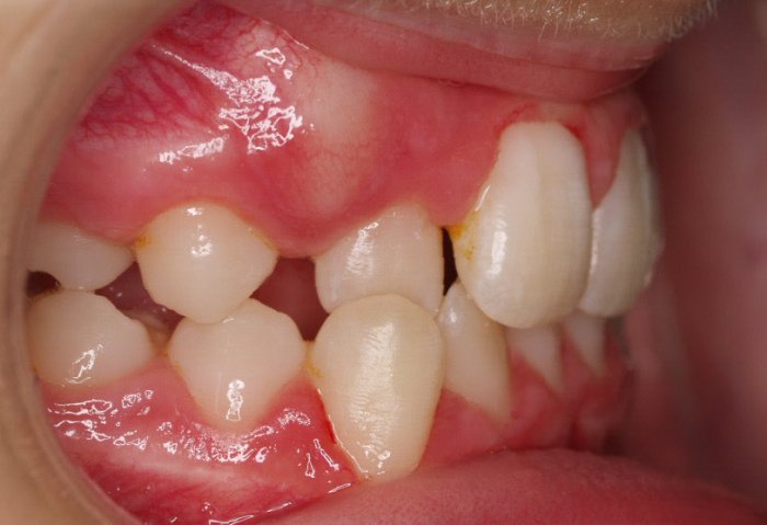
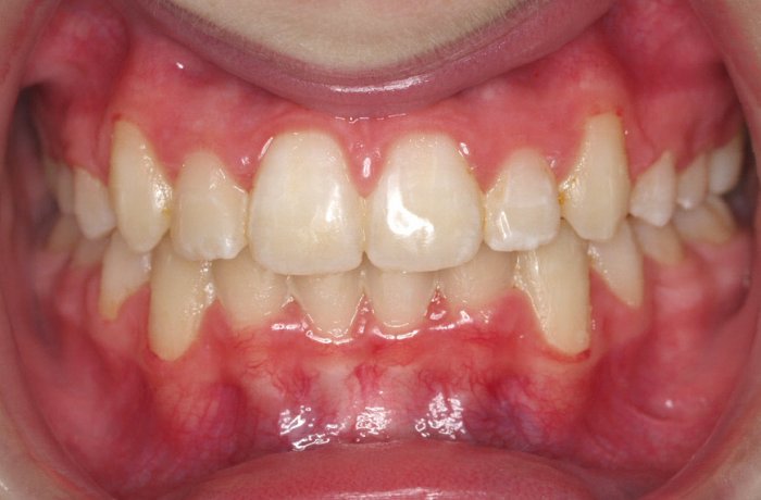
Paciente que acude a nuestra consulta para tratar el apiñamiento. Se realizó el tratamiento con férulas INVISALIGN con una duración de 12 meses.
INICIO FINAL
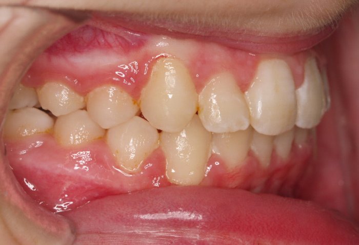
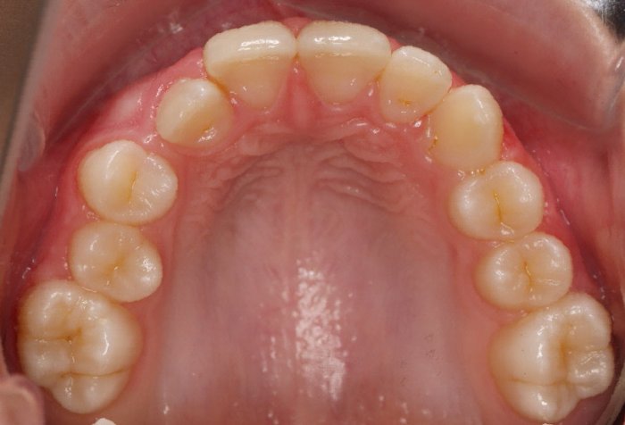
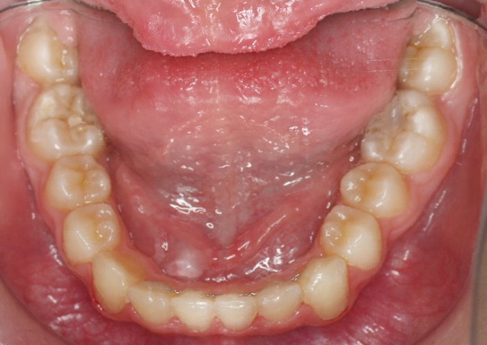
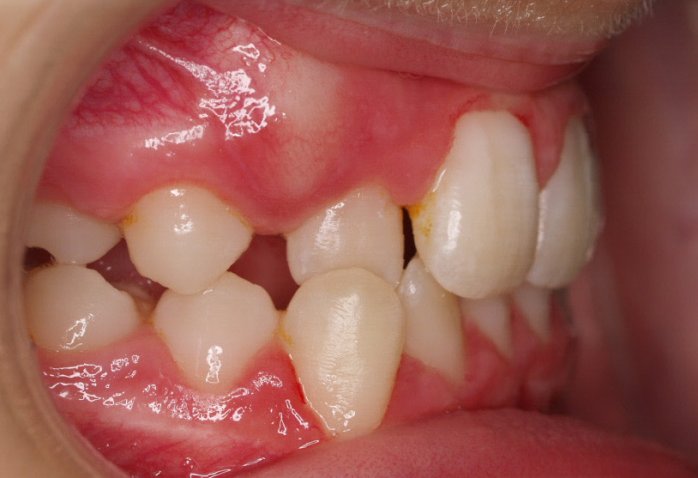
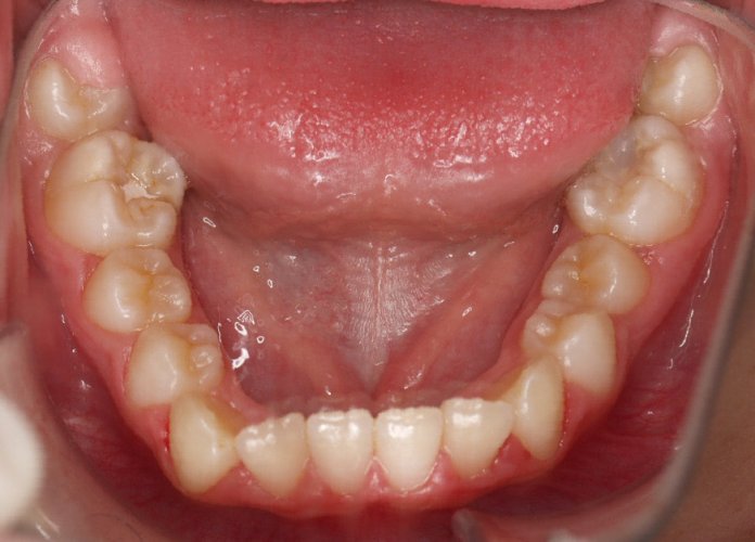
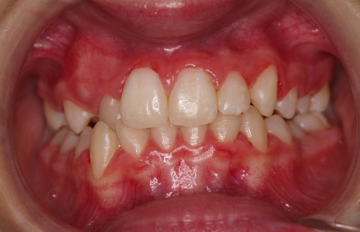
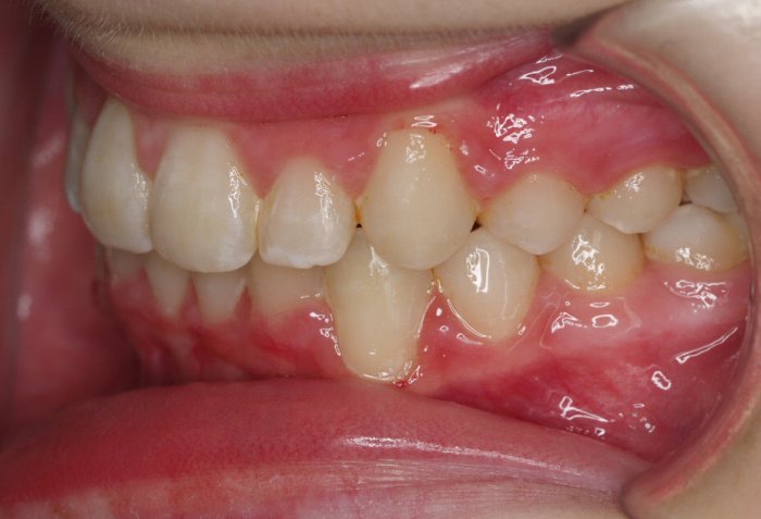
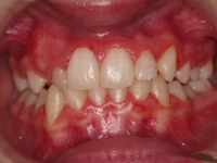
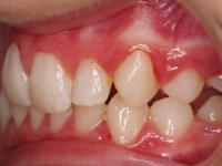
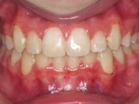
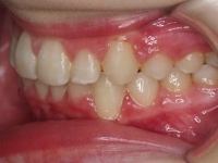
El paciente A.J. de 11 años, acude a nuestra consulta con apiñamiento maxilar importante. El canino lateral (12) está en mordida cruzada. Presenta una Clase II molar y canina, y la línea media está desviada. Se realizó un tratamiento con brackets autoligables metálicos de smartclip 022. La duración del tratamiento fue de 22 meses.
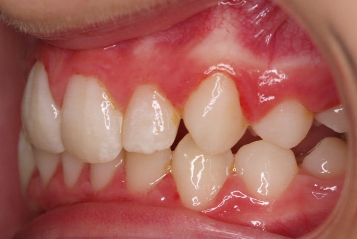
El paciente actualmente ha terminado el tratamiento con brackets y lleva una contención fija de 2-2 en maxilar y 3-3 en mandibular; para complementar también lleva una férula ESSIX durante la noche.
INICIO FINAL






