Archive for the ‘Casos clínicos’ Category
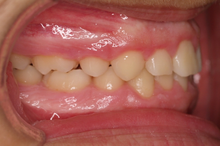
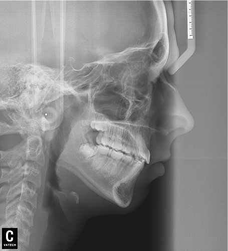
El paciente D.M. llega a nuestra consulta sin los 2 premolares inferiores que le quitaron en anteriormente para empezar a mejorar el caso.
– Perfil plano
– Clase III esquelética
– Clase III dental
– Apiñamiento superior muy importante
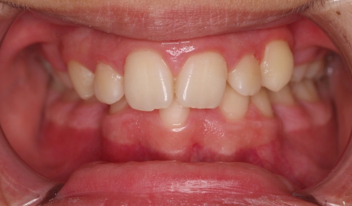
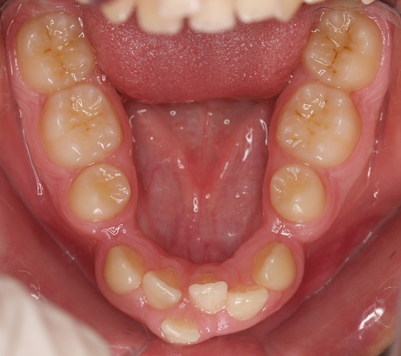
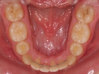
Fotos antes de tratamiento:
El paciente ha sido tratado con brackets DAMON Q de acero. La duración del tratamiento ha sido de 2 años.
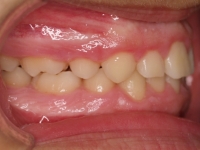
Fotos después de tratamiento:
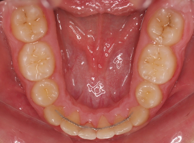
Después de finalizar el tratamiento fijo, lleva férulas de contención arriba y abajo. Además de una contención fija de 3 a3 inferior.
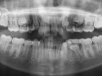
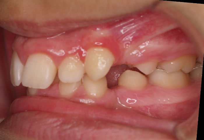
Fotos del tratamiento:
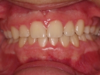
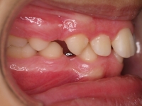
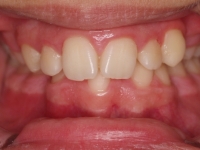
El paciente M.C. acude a nuestra consulta por:
– Apiñamiento importante
– Perfil convexo
– Forma arcada estrecha
-sobremordida
Con lo que decide realizarse un tratamiento de ortodoncia de duración de 26 meses con brackets smartclip 022 de acero.
Fotos antes tratamiento:
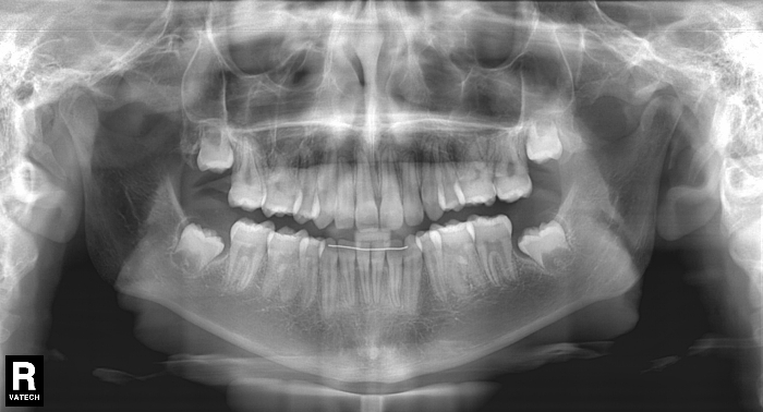
Plan tratamiento:
– Decidimos extraer 14.24.34.44
– Colocamos microtornillo lado izquierdo
– Gomas en triángulo para conseguir oclusión perfecta.
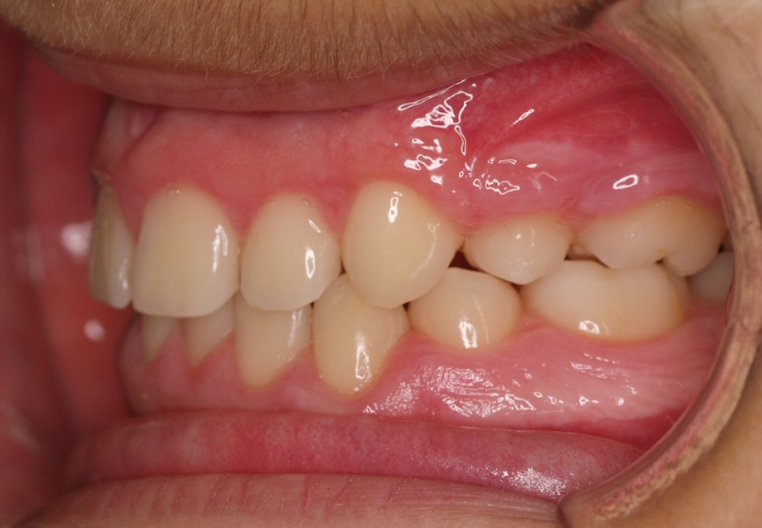
Fotos fin tratamiento:
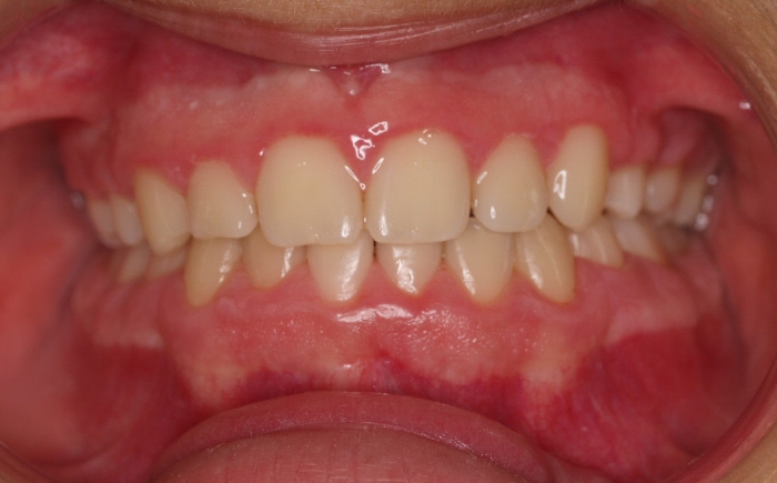
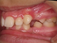
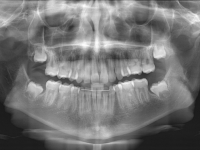
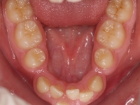
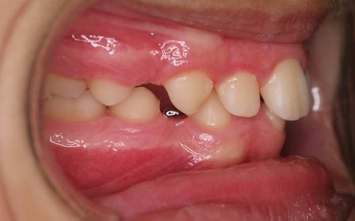
La paciente O.O. acude a nuestra consulta por:
– Canino 13 e incisivo lateral 42 en posición ectópica.
– Canino 23 incluido.
Con lo que decide realizarse un tratamiento de ortodoncia de duración de 24 meses con brackets damon Q.
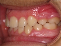
CASO COMPLETO:






