Archive for the ‘Casos clínicos’ Category
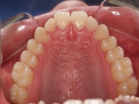
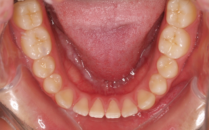
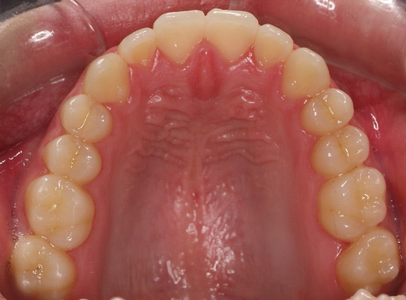
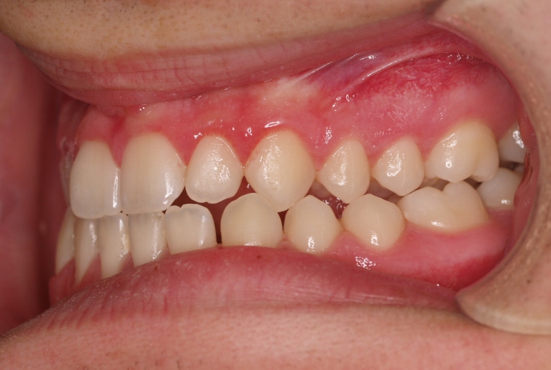
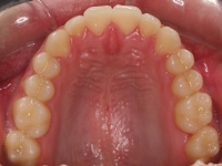
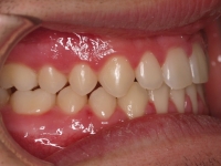
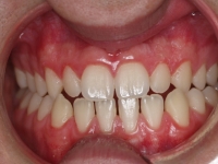
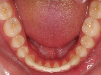
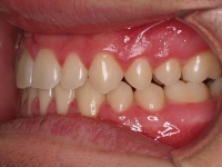
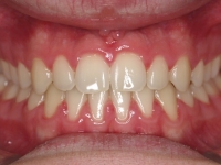
El paciente E.A. acude a nuestra consulta por diastema inferior y ausencia de contactos en los sectores laterales.
1) Arreglamos el problema funcional (lengua baja). Colaboramos con la logopeda Ana Muñoz.
2) Colocamos aparatología fija (brackets Damon) arriba y abajo.
Paciente de 60 años con arrugas
Fotos antes/después
Tratamiento de arrugas del “codigo de barras” y de las “líneas de marioneta”.
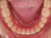
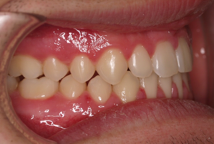
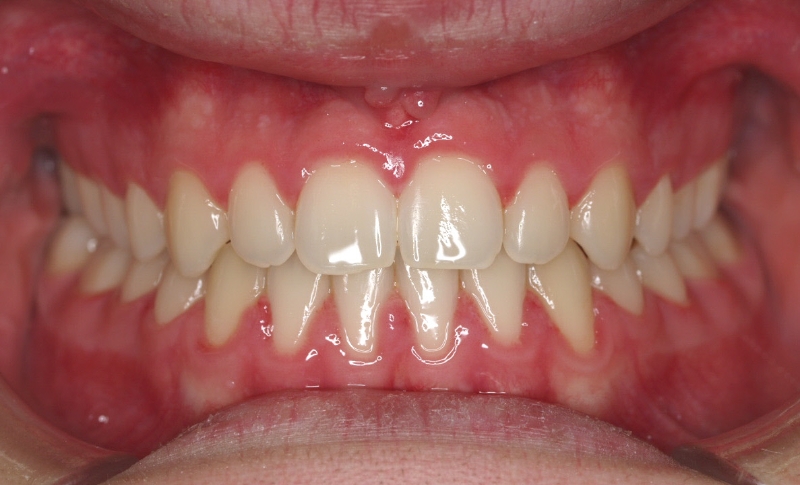
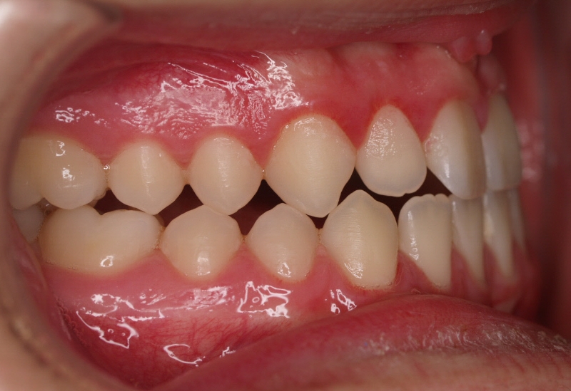
El stripping consiste en la reducción interproximal del esmalte entre los dientes posteriores y anteriores, así obtenemos espacio para alinear los dientes apiñados.
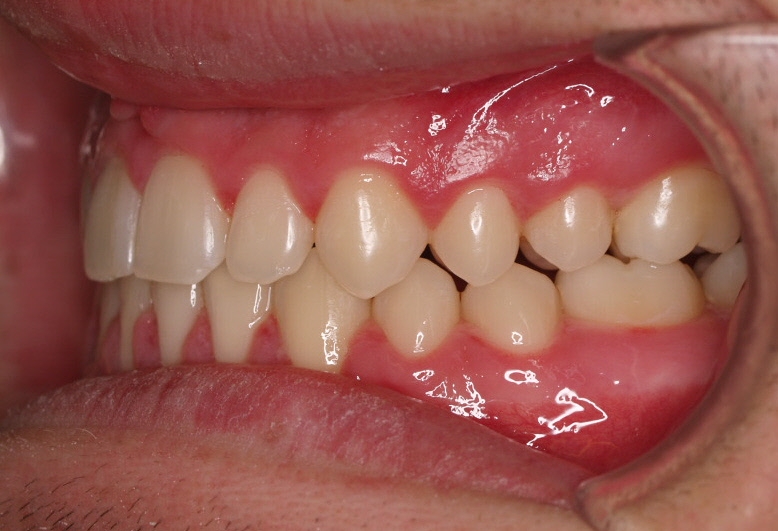
Chica de 17 años tratada en 1 año con stripping en los dientes inferiores






