Ir al contenido
INICIO
ROUCH GOROSTIDI
PROCESO
CASOS CLÍNICOS
TRATAMIENTOS
CONTACTO
FAQ
INICIO
ROUCH GOROSTIDI
PROCESO
CASOS CLÍNICOS
TRATAMIENTOS
CONTACTO
FAQ
SI SUEÑAS CON UNA BONITA SONRISA, HAZLO REALIDAD
Categoría:
Casos clínicos
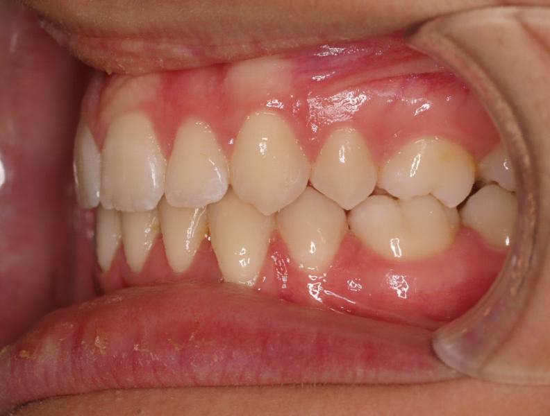
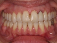
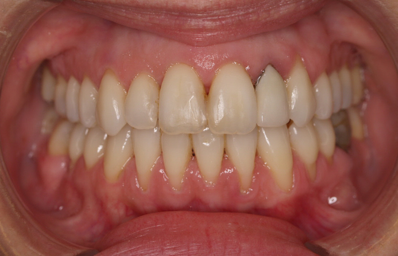
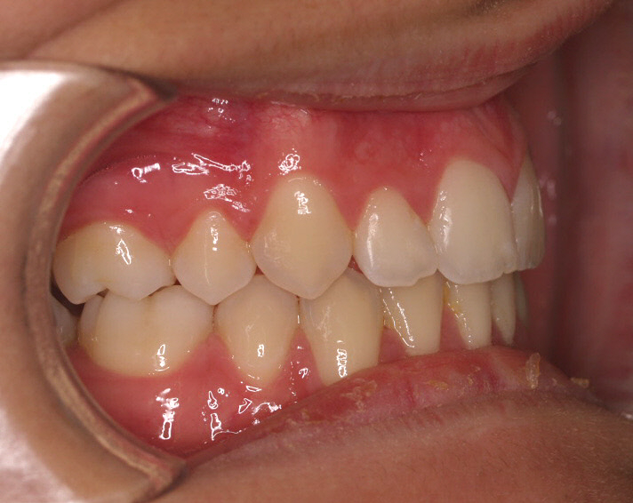
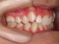
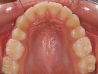
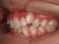
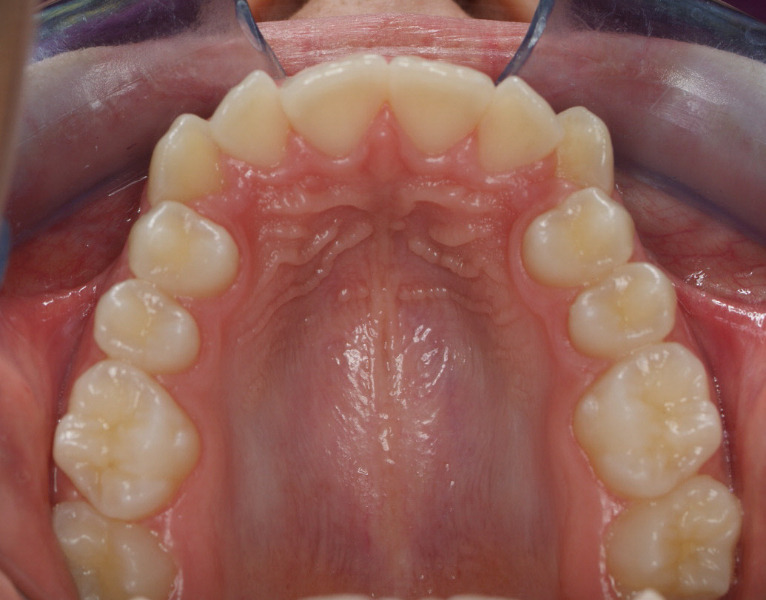
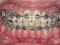
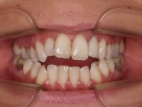
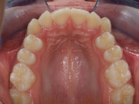
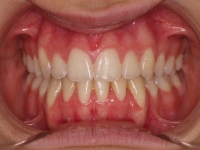
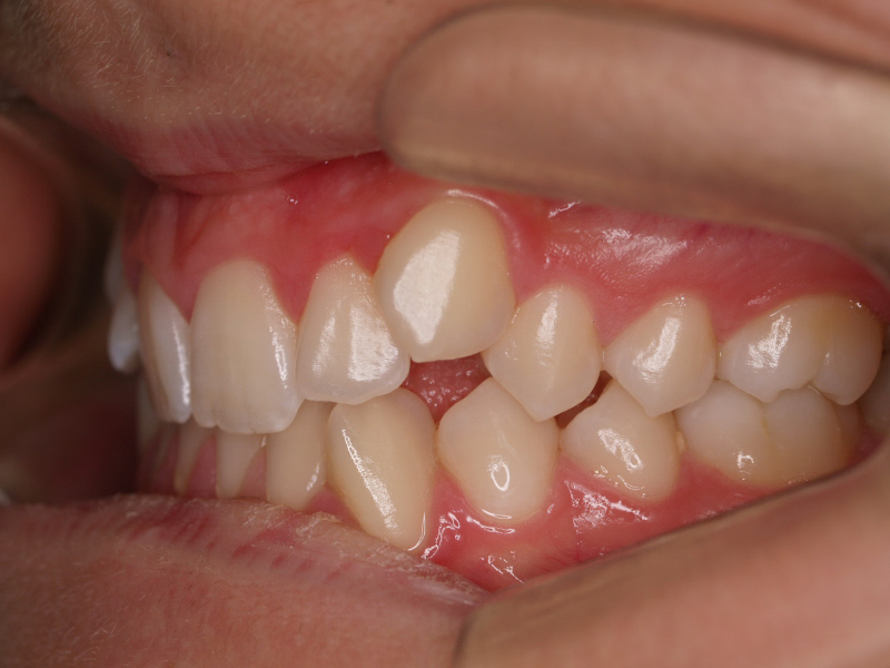
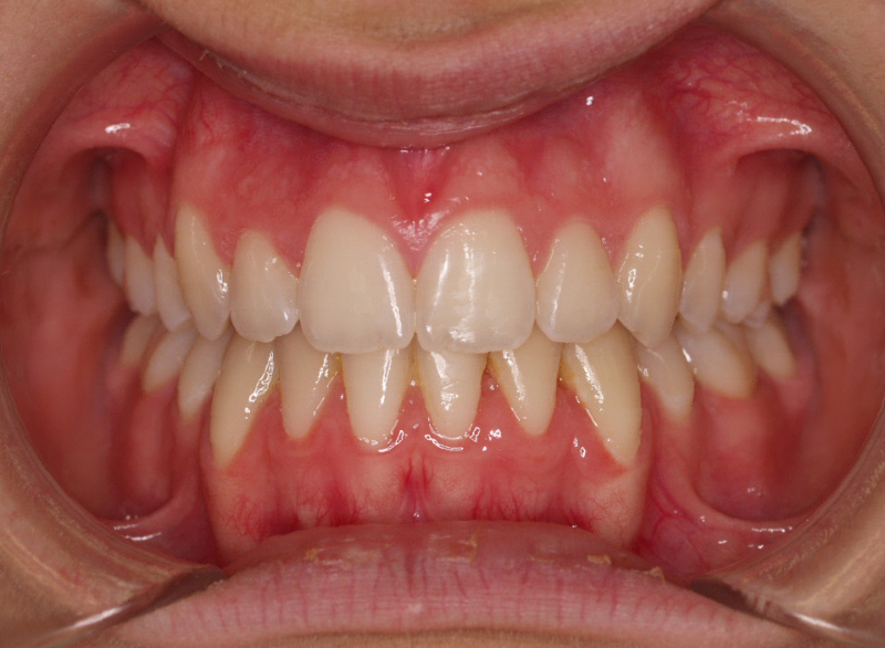
Exodoncia 15.25.35.45
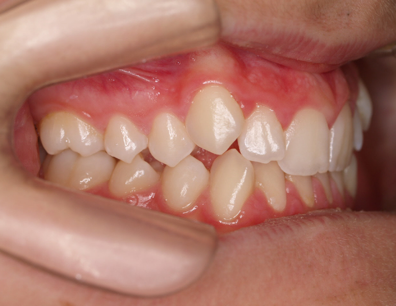
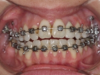
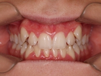
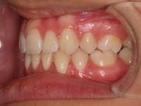
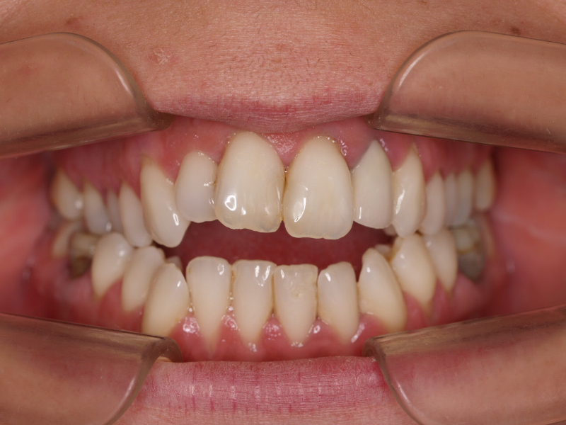
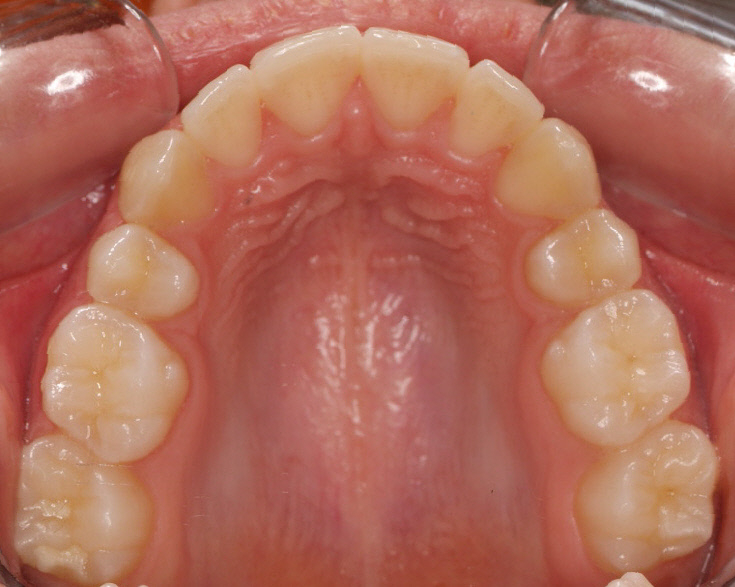
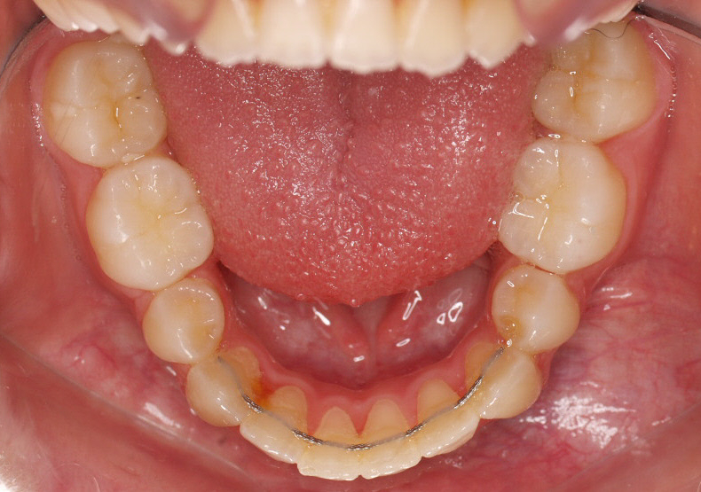
CASO DE SEPTIEMBRE 2012
Open Bite (miniscrew)
Sonrisa
←
Anterior
Siguiente
→