Posts Tagged ‘dientes’
¿Qué son los diastemas y cómo se tratan?
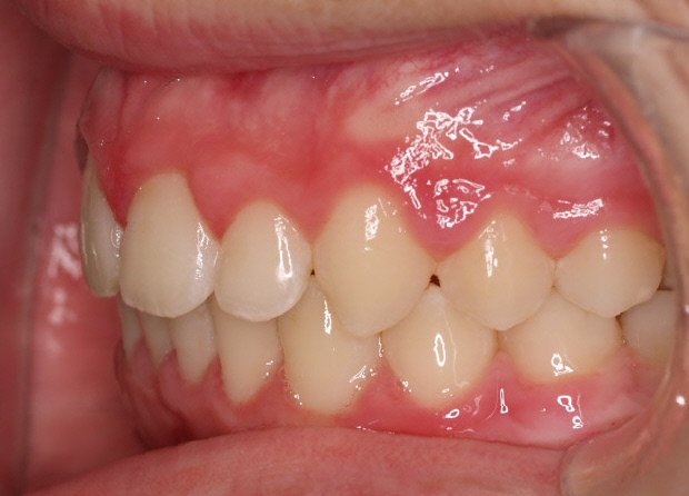
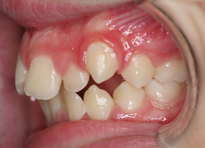
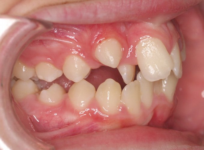
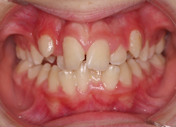
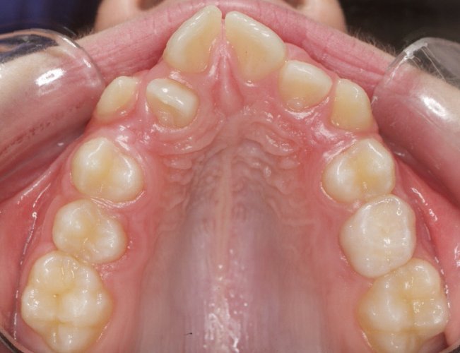
Un “diastema” es una separación extraordinariamente grande entre dos o más dientes. La mayoría de las veces, el diastema aparece entre los dos dientes delanteros superiores. Muchos niños tienen diastema cuando se les caen los dientes de leche, pero en la mayoría de los casos esta distancia desaparece cuando salen los dientes permanentes.
Los diastemas pueden deberse a una diferencia en los tamaños de los dientes, a la falta de algún diente o a que el frenillo labial sea demasiado grande. El frenillo labial es el tejido que va desde el interior del labio hasta la encía, en el lugar donde se sitúan los dos dientes delanteros superiores. Los diastemas también pueden deberse a problemas en la alineación de la boca, como la sobremordida horizontal o la protrusión de los dientes1.
¿Cómo se puede tratar?
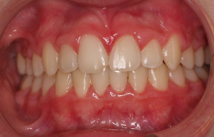
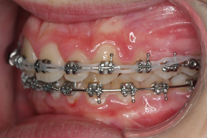
El tipo de tratamiento se decide una vez su dentista o especialista haya determinado la razón por la que tiene usted el diastema. Algunas de las opciones son:
- Conservar el diastema.
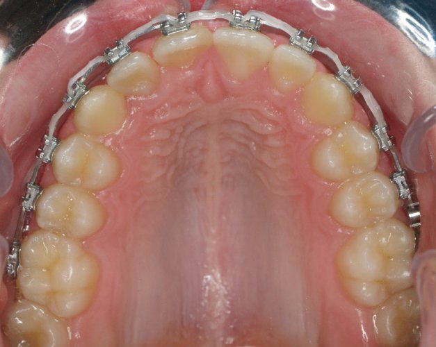
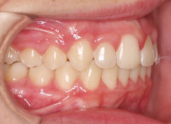
- Realizar un tratamiento ortodóncico para mover los dientes y cerrar el diastema.
- Ponerse unas carillas de porcelana, (unas láminas muy finas de porcelana cementada o composite adherido) en la parte exterior de los dientes.
- Utilizar coronas y puentes, o sustituir los dientes con implantes (sólo para adultos).
Si su frenillo labial es demasiado grande, puede que le remitan a un especialista para someterse a un procedimiento quirúrgico llamado frenectomía. Este procedimiento consiste en cortar el frenillo y volverlo a colocar para permitir que tenga más flexibilidad. Cuando la frenectomía se realiza en un niño, el espacio puede llegar a cerrarse por sí solo. Si se trata de un adolescente o un adulto, puede que sea necesario cerrarlo con ortodoncia. Es esencial acudir al dentista para saber cuál de estas opciones es la adecuada en su caso.
Fuente: colgate.es (Dr. Ignacio Corral Pazos de Provens)
Si quieres lograr una sonrisa linda, con unos dientes limpios y un aliento fresco, además del aseo diario de tu boca, usar un buen dentífrico y enjuagues bucales, es necesario que sepas que existen alimentos que pueden ayudarte a mantener esa importante zona de tu cuerpo, libre de impurezas y atractiva a la vista.
Cuáles son:
Para evitar estos efectos que no deseamos, debes consumir alimentos que favorecen la salud de tus dientes, estos son:
La manzana, la coliflor, las zanahorias y el apio. Cuando los consumes además de
quitar los elementos contaminantes de tus dientes, estimulan el flujo de saliva, la cual neutraliza ácidos y protege tu dentadura.
Los productos lácteos también son recomendados, además de fortalecer los dientes con calcio el ácido láctico, ayuda a prevenir su caída, prontamente.
Puedes escoger entre los lácteos, leches descremadas, yogurt y los quesos, mejor si son los más duros, que con la masticación promueven la salida de las partículas que puede haberse quedado entre los dientes.
El té, sin azúcar, es otra alternativa para el cuidado dental, es una fuente natural de flúor, y contribuye a mantener los dientes en buen estado.
El Kiwi es un fruto que contiene seis veces más vitamina C que una naranja, proporcionando más del 100% del requerimiento diario de vitamina C. Esta vitamina es importante para mantener colágeno en las encías y evitar la enfermedad periodontal. Puedes incluirlo en batidos de frutas, ensaladas o solo en los desayunos y meriendas.
La cebolla es otro alimento que puede ayudarte en conseguir una sonrisa limpia, entre sus componentes tiene sustancias anti-bactericidas y sus efectos son mejores cuando está cruda.
El perejil contiene una sustancia llamada monoterpeno que neutraliza el mal aliento. Inclúyalo en salsas, ensaladas, pastas, o platos con pollo, carne ó pescado.
Las semillas de ajonjolí pueden lograr que, mientras masticas, puedas desprender la placa y además reforzar el esmalte natural de tus dientes. Son rica fuente de calcio, ayudando a mantener el hueso alrededor de los dientes y las encías sanas y fuertes.
Fuente: biomanantial.com








