Posts Tagged ‘invisalign’
Los brackets y la ortodoncia se utilizan para corregir la “mordedura deficiente” u oclusión dental defectuosa (cuando los dientes están amontonados o torcidos). En algunos casos, los dientes están derechos, pero la mandíbula superior y la inferior no encajan correctamente. Estos problemas de mandíbula o alineación de los dientes pueden ser heredados o podrían ser consecuencia de una lesión, de la pronta o tardía pérdida de dientes, o de chuparse el pulgar.
Si no se corrige una mordedura deficiente, podrían surgir otros problemas de salud bucal, entre ellos:
- Caries dental
- Enfermedad de las encías
- Pérdida de dientes
- Masticación y habla afectadas
- Desgaste inusual del esmalte dental
- Problemas de mandíbula
Existen distintas formas de enderezar los dientes. El tipo de tratamiento ortodóntico que siga dependerá de sus preferencias y de las opciones que le proponga su odontólogo u ortodoncista.

Puesto que la mordedura deficiente se puede observar entre los 6 y los 12 años, la ortodoncia a menudo comienza entre los 8 y los 14 años. El hecho de iniciar el tratamiento mientras el niño está creciendo contribuye a generar mejores resultados. Eso no significa que los adultos no puedan tener brackets; los dientes sanos se pueden someter a un tratamiento dental a cualquier edad.
Fuente: www.mouthhealthy.org
22Artículo de la revista “Mía”

Su uso en adultos se ha generalizado en los últimos años. Y el 80 % de los casos son mujeres de unos 40 años. Te contamos si los brackets son eficaces y cuales te van más a ti. Y es que quizás los necesitas pero te acompleja que se vean tan mayor y con brackets . Si es así el método Invasiling es la solución: 100 % invisible y eficaz para tu edad.
Cada vez más adultos llevan ortodoncia, algo que parece más propio de niños y adolescentes. Y es que lo que antes era una negativa habitual (“¿Brackets a mi edad? Ni loca”) se ha convertido en una oportunidad para solucionar más de un problema de salud dental. Desde la princesa Letizia, Pau Gassol, Dani Martín, Emma Watson hasta Tom Cruise los han llevado por diferentes motivos. Pero, ¿son eficaces en la edad adulta? ¿Qué problemas solucionan? ¿Y cuáles recomiendan los expertos?
Más allá de motivos estéticos
“Generalmente se piensa que un tratamiento con brackets se debe a causas estéticas (solucionar apiñamiento de dientes, piezas dentales montadas unas sobre otras, tamaños irregulares, dientes torcidos, etc.), pero eso no es lo fundamental”, explica el doctor Jaime Jiménez, odontólogo de TopDoctors.es. Y es que el ‘componente funcional’ (cómo la boca realiza su trabajo: cómo se muerde, cómo se mastica…) es el motivo principal de este tratamiento. “Cuando los dientes no están bien alienados y colocados, la parte superior de la boca (maxilar superior) engrana mal con la inferior (la mandíbula) y esto acarrea muchos problemas que, aparentemente, no tienen nada que ver con la salud dental: dolores de cabeza (y hablamos de graves jaquecas), problemas de espalda, de cervicales, de estómago…”, aclara el doctor. Y matiza: “Muchas veces, cuando sufrimos diferentes dolencias, las achacamos a desórdenes neurológicos o hereditarios, cuando al final la raíz del problema es un mal engranaje mantenido durante muchos años”. Porque, aunque de pequeños no nos duela nada debido a un mal engranaje, con los años pasa factura.
¿Son igual de efectivos a estas edades?
“Cuanto antes se empiece, mejor”. Un adulto ya ha terminado su crecimiento, sus dientes llevan años sin movimiento y el proceso puede resultar más molesto. “Hay que tener en cuenta que no sólo movemos el diente sino toda la estructura a su alrededor, y el desplazamiento del hueso es lo más importante y costoso. Cuanto antes movamos el diente, al estar el hueso más inmaduro, será mucho mejor porque podemos hacerlo más rápido y con menos limitaciones”, explica el doctor Jiménez. No obstante, hoy en día existen técnicas con las que se pueden igualar los tiempos de respuesta. “Por ejemplo las microfracturas del hueso (se usa mucho en profesiones como las de modelo). Además, combinando tratamientos de implantes y ortodoncia se adelanta tiempo y se obtienen buenos resultados en casos graves”.
Qué tipos existen
Actualmente, hay dos tratamientos: los brackets de toda la vida, “que han evolucionado y, en lugar de ser metálicos, son blancos, se pueden poner por delante del diente, quedando visibles, o por detrás (no se ven), y corrigen los casos más severos y se reduce el tiempo del tratamiento”; y la técnica Invisaling, procedente de Estados Unidos: mediante un programa informático se recolocan los dientes, en los que se ponen distintas férulas transparentes que los van moviendo hasta la posición deseada. Es un método completamente invisible.
El consejo de nuestro experto
El Dr. Jaime Jiménez, Odontólogo de TopDoctors.es afirma que: “En adultos se dan limitaciones, pero es verdad que la mayoría de los tratamientos se pueden llevar a cabo correctamente. Lo único que sucede es que el tiempo es mayor. Por supuesto, siempre que haya algún problema, ya sea estético o de funcionamiento, lo mejor es consultar con un especialista, para que estudie el problema en cuestión. Y aunque en casos muy severos habría que optar por una ortodoncia convencional, normalmente el mejor tratamiento suele ser los brackets. ¿Cuándo no los recomendaría? No se puede generalizar. Cada caso debe ser valorado por un ortodoncista”.
Por: Carmen Sabalete.
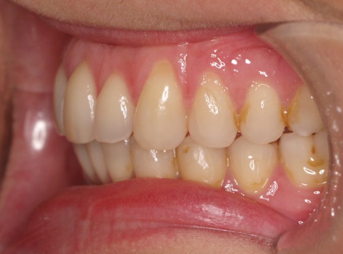
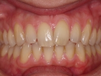
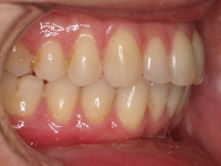
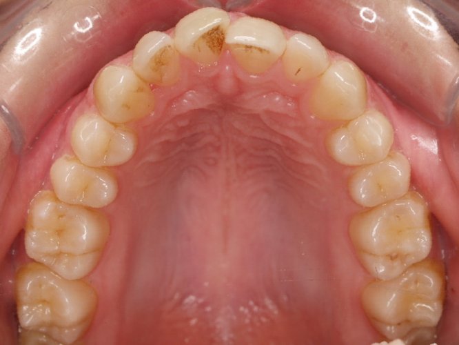
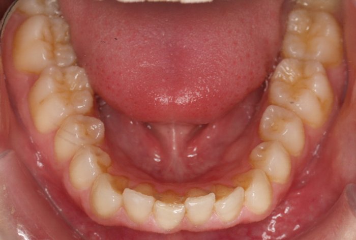
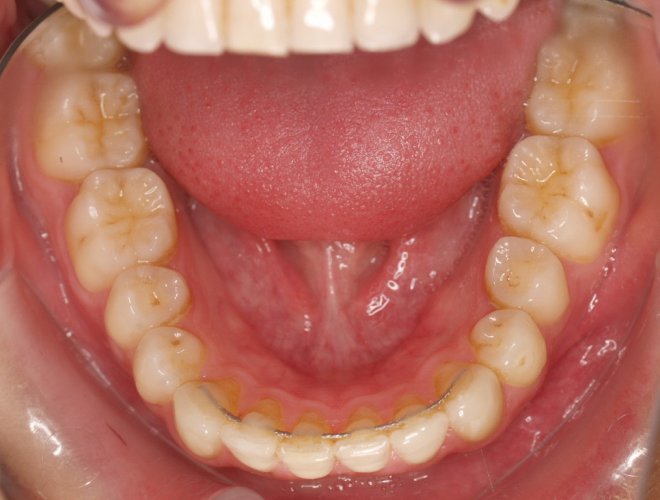
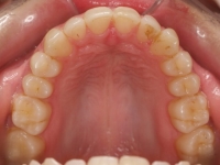
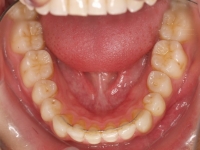
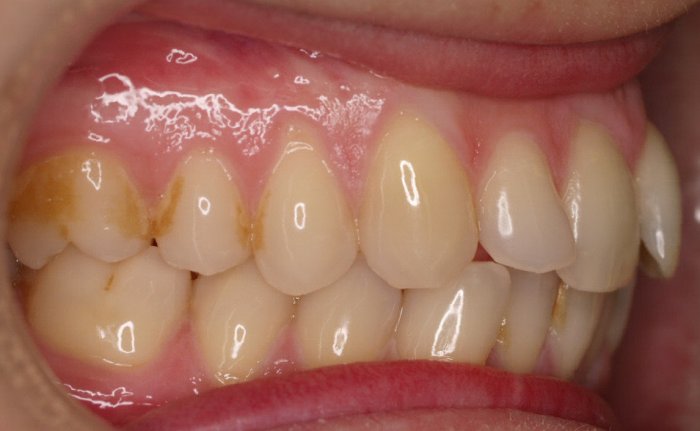
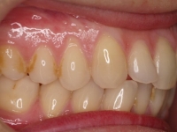
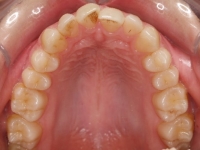
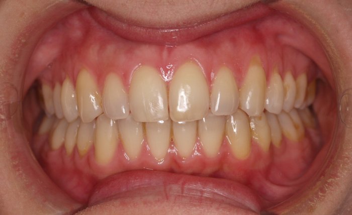
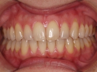
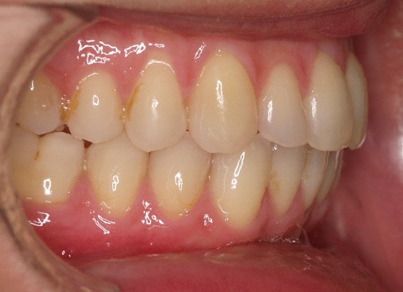
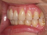
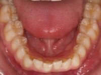
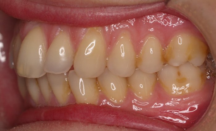
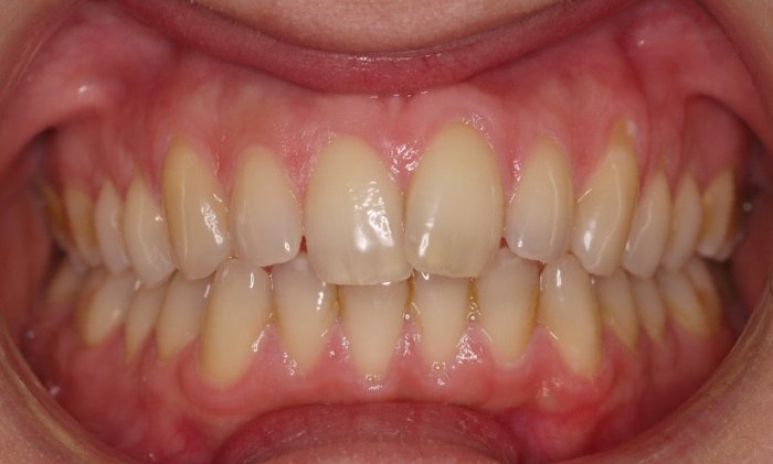
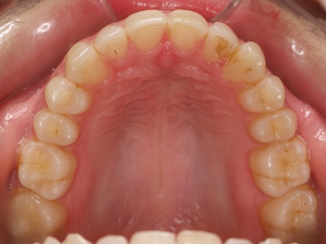
Paciente que acude a nuestra consulta para tratar el apiñamiento. Se realizó el tratamiento con férulas INVISALIGN con una duración de 12 meses.
INICIO FINAL






