Posts Tagged ‘mordida cruzada’
Presenta:
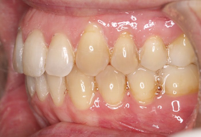
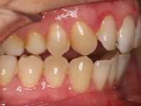
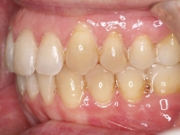
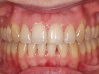
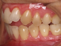
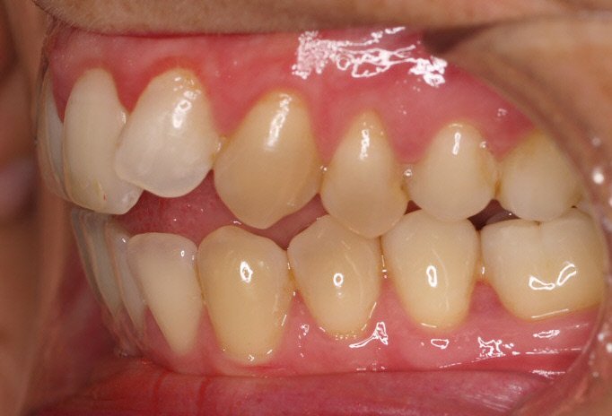
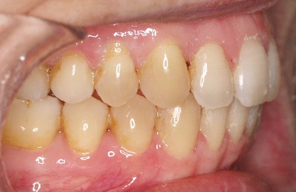
- Clase I esquelética
- Clase II molar y canina
- biprotrusión alveolar
- mordida abierta anterior
- mordida cruzada derecha
- línea media desviada
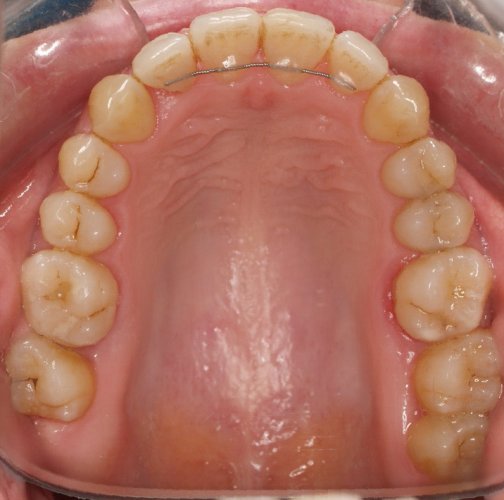
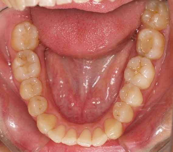
El tratamiento se hizo con brackets de autoligado y tuvo una duración de 22 meses. Hicimos al mismo tiempo una reeducación de los hábitos de deglución. También se uso microtornillos para corregir la clase II molar derecha.
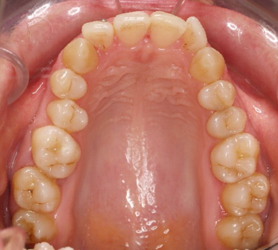
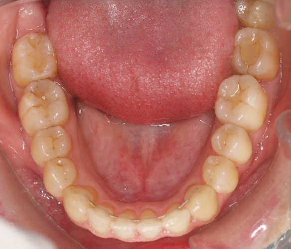
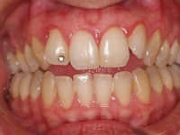
Ahora la paciente esta en contención con férulas más una contención fija superior e inferior.
INICIO FIN
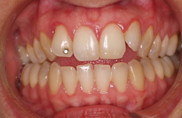
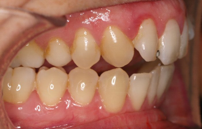
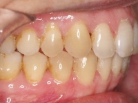
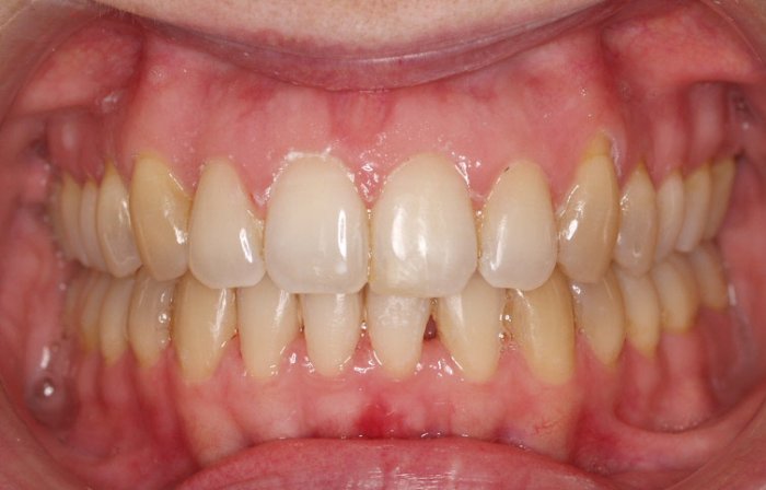
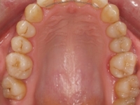
Paciente 7 años en dentición mixta. Los padres consultan por mordida cruzada anterior, así que decidimos hacer un tratamiento en dos fases; la primera interceptiva con una mentonera y la segunda con brackets SMARTCLIP 022 autoligados durante 22 meses.
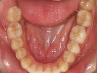
Actualmente el paciente a finalizado el tratamiento con brackets y lleva una contención fija de 3-3 inferior y férula ESSIX superior e inferior.






