CL II DDM FULL CL II

Nov
2015
05

posted by on Casos clínicos

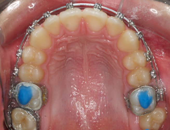
Paciente de 14 años, acude a nuestra consulta por dientes superiores proclinados hacia delante y apiñamiento. El paciente presenta una full clase 2, sobremordida y dientes inferiores proclinados. Decidimos colocarle brackets Damon y microtornillos en maxilar superior para distalizar las muelas. La duración del tratamiento fue de  24meses, y ahora lleva 1 año de contención. El paciente se pone la férula Essix superior 1noche/2 y la de abajo 1noche/semana para mantener.

INICIO                                           FINAL

CASO COMPLETO:

02-01--075-Right Bite-01012006

Image 1 De 10

 

NOVIEMBRE 2012-Right Bite

Image 1 De 4

 

FEBRERO 2013 Right Bite

Image 1 De 4

 

MARZO 2013-Right Bite

Image 1 De 4

 

DICIEMBRE 2013 - Upper Occlusal

Image 4 De 8

 

ENERO 2014 Panoramic Xray

Image 1 De 1

 

FEBRERO 2014-Right Bite

Image 1 De 3

 

MAYO 2014 -Panoramic Xray

Image 1 De 4