Clase II paciente 15 años
Ago
2013
2013
26
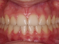
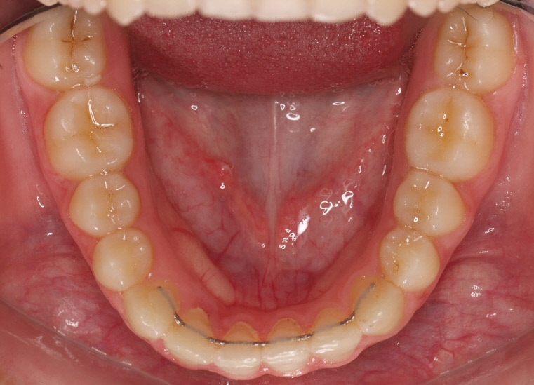
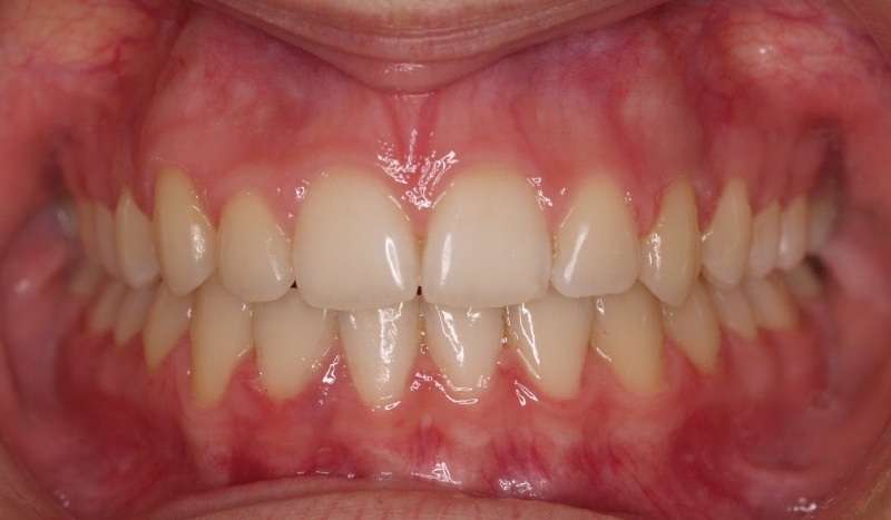
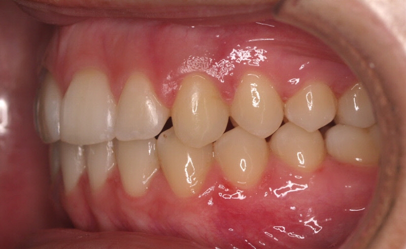
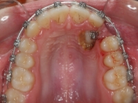
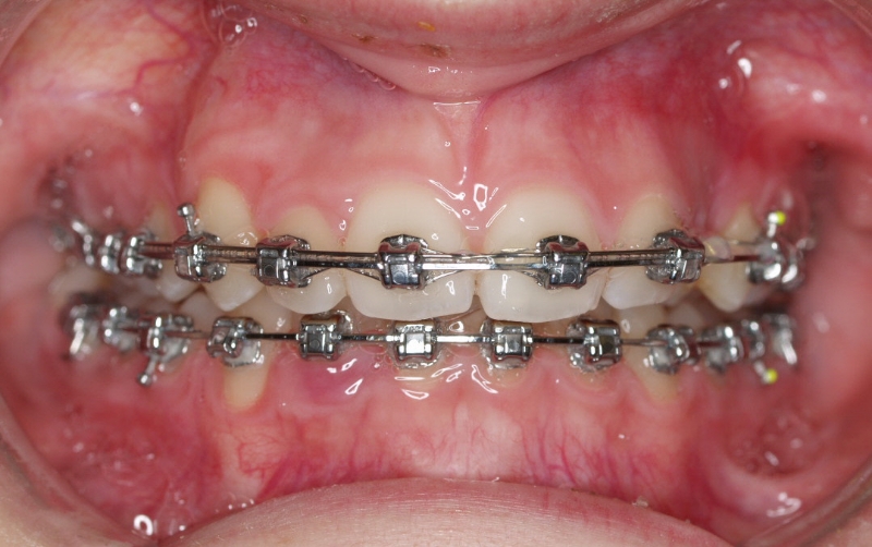
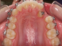
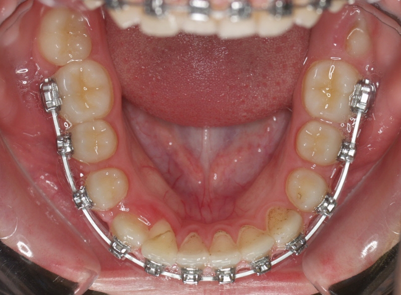
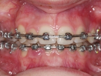
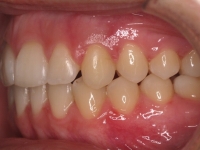
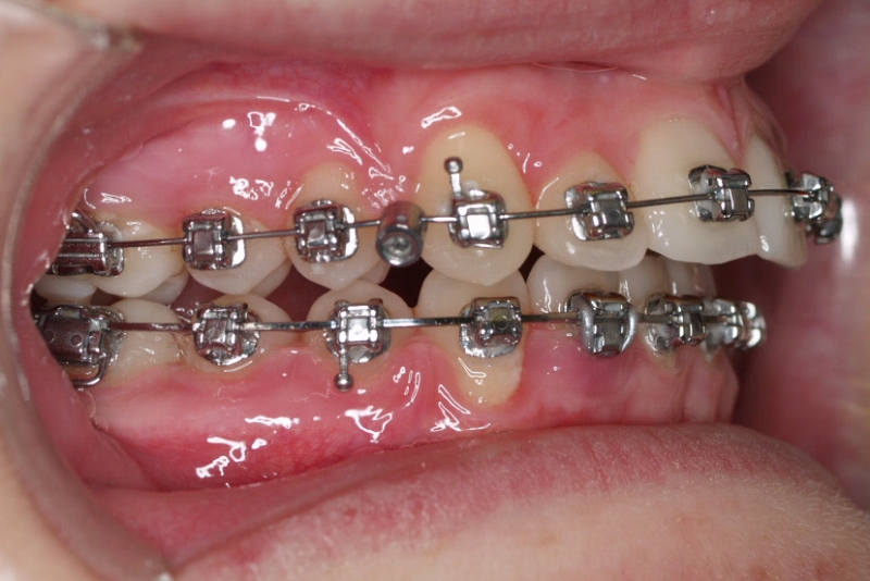
La paciente O.O. acude a nuestra consulta por:
– Canino 13 e incisivo lateral 42 en posición ectópica.
– Canino 23 incluido.
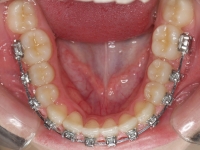
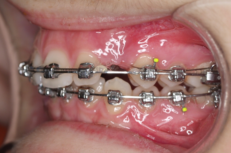
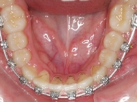
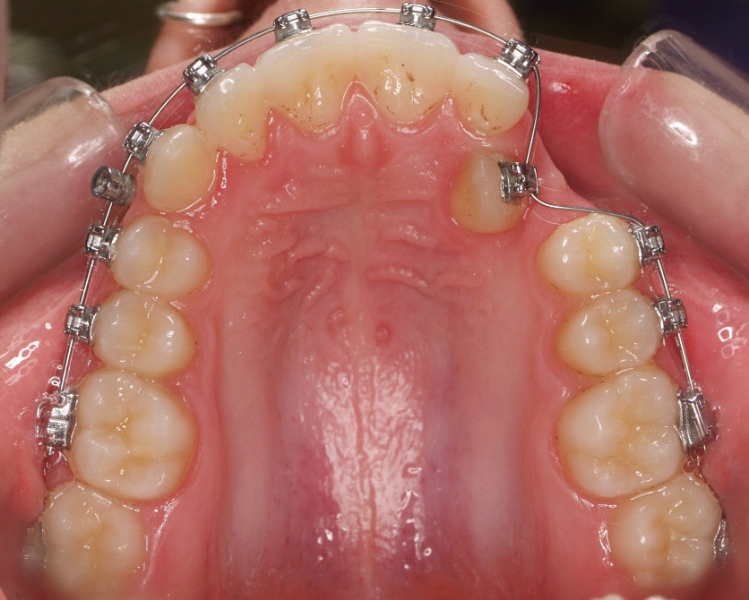
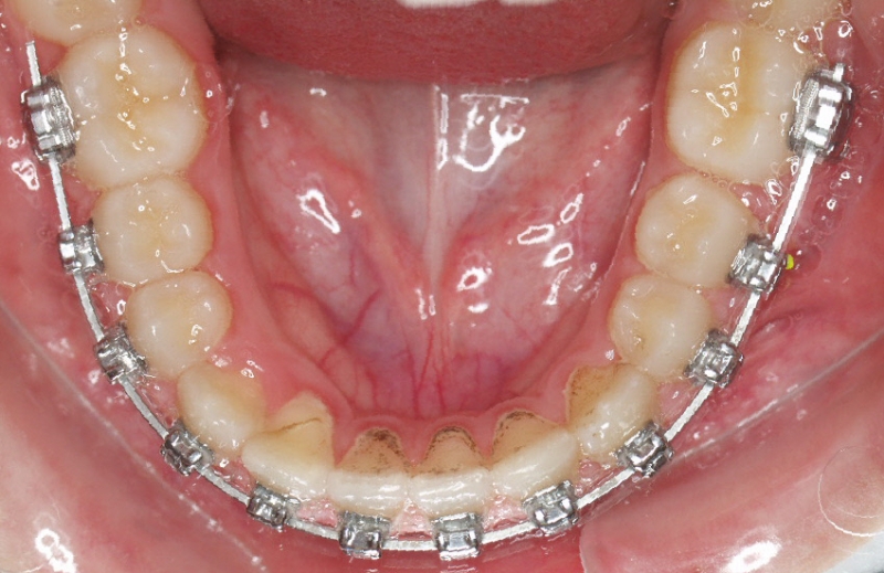
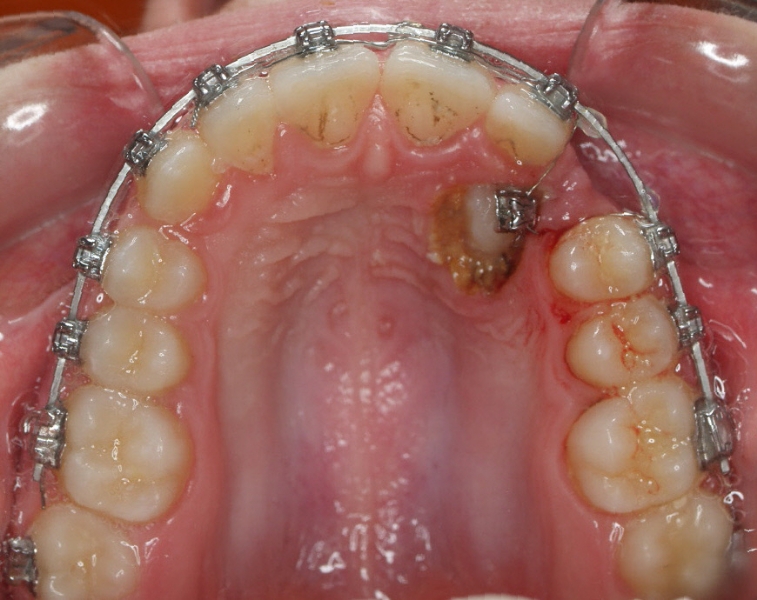
Con lo que decide realizarse un tratamiento de ortodoncia de duración de 24 meses con brackets damon Q.
no se han encontrado imágenes
no se han encontrado imágenes
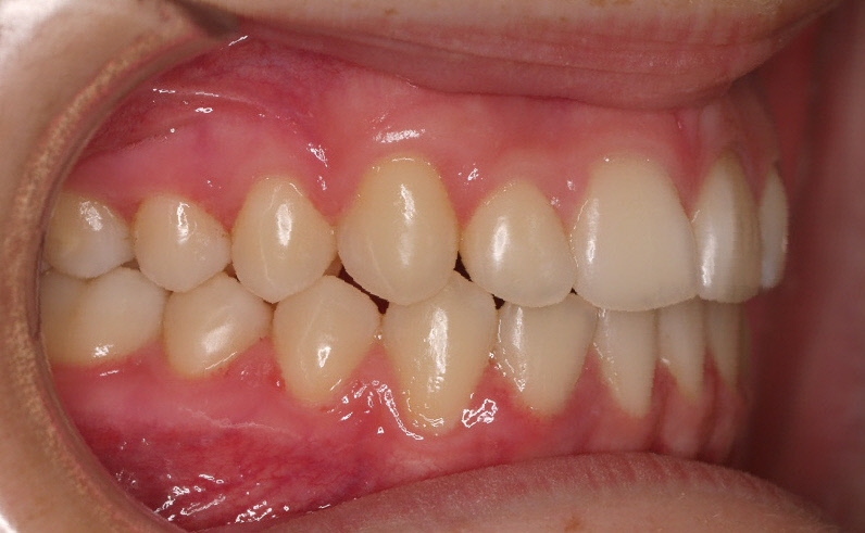
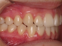
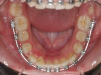
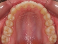
CASO COMPLETO:






