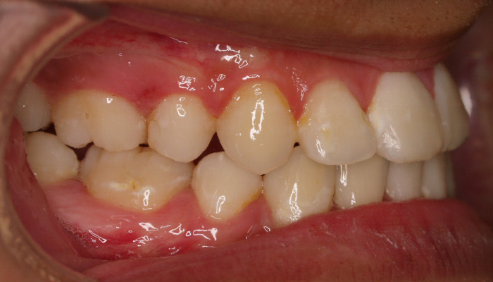
Paciente Clase III de 17 años
2014
El paciente D.M. llega a nuestra consulta sin los 2 premolares inferiores que le quitaron en anteriormente para empezar a mejorar el caso.
– Perfil plano
– Clase III esquelética
– Clase III dental
– Apiñamiento superior muy importante
Fotos antes de tratamiento:
no se han encontrado imágenes
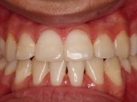
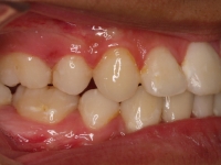
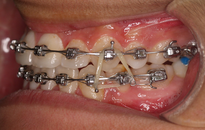
El paciente ha sido tratado con brackets DAMON Q de acero. La duración del tratamiento ha sido de 2 años.
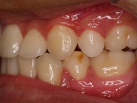
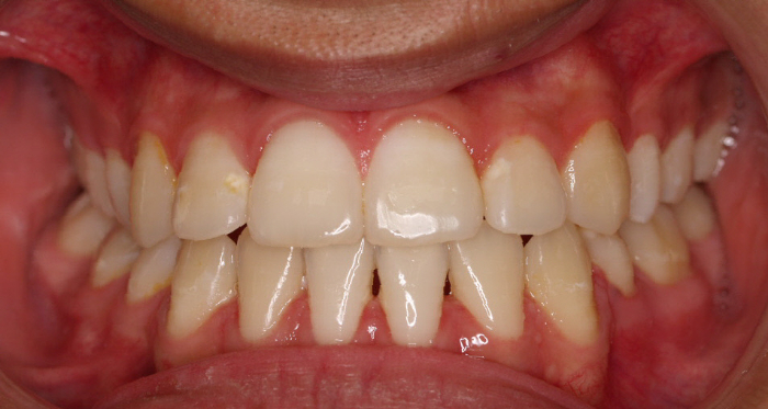
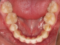
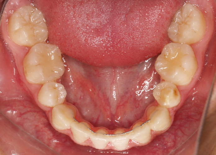
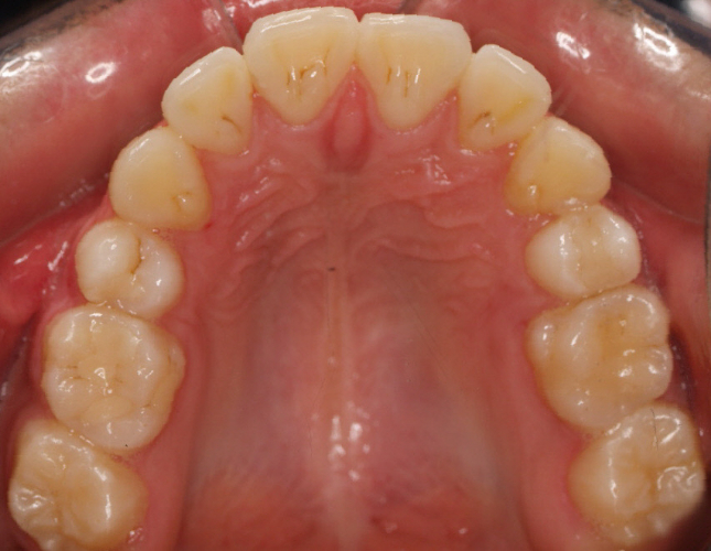
Fotos después de tratamiento:
no se han encontrado imágenes
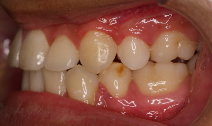
Después de finalizar el tratamiento fijo, lleva férulas de contención arriba y abajo. Además de una contención fija de 3 a3 inferior.
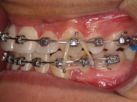
Fotos del tratamiento:






