Paciente Clase I con sobremordida
Oct
2017
2017
18
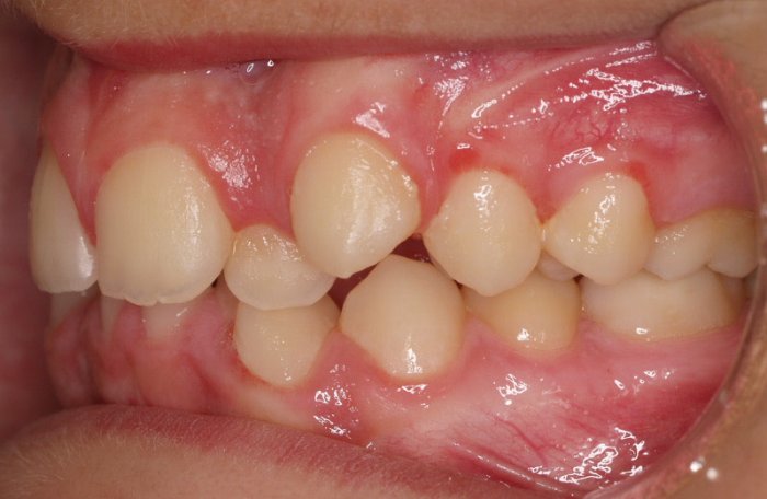
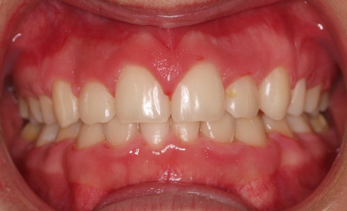
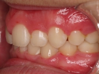
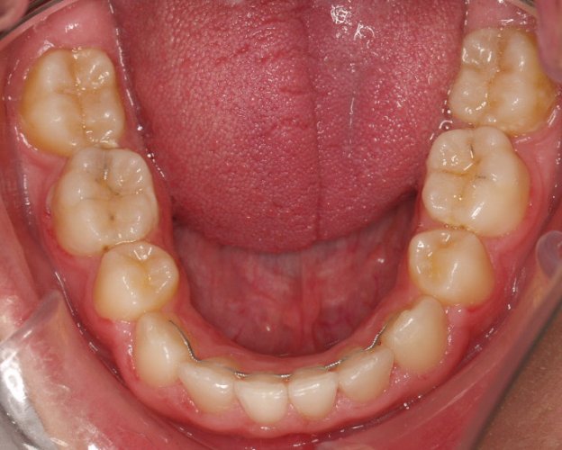
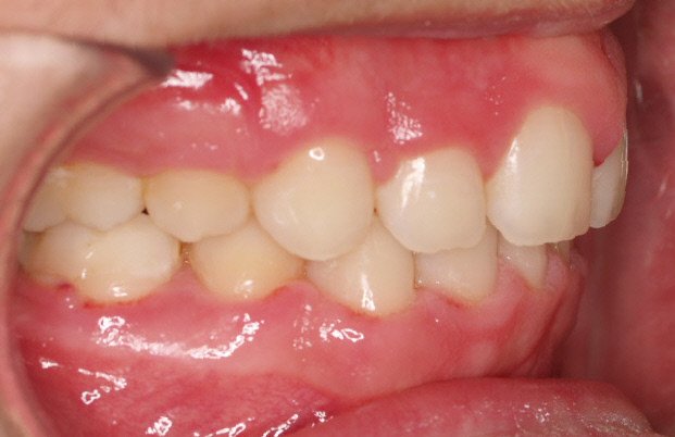
Paciente de 13 años que presenta sonrisa disarmónica.
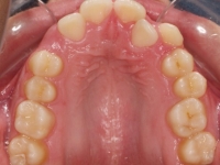
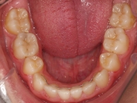
- Clase I esquelética
- Clase I molar
- DDM +++ anterior
- Sobremordida
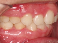
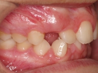
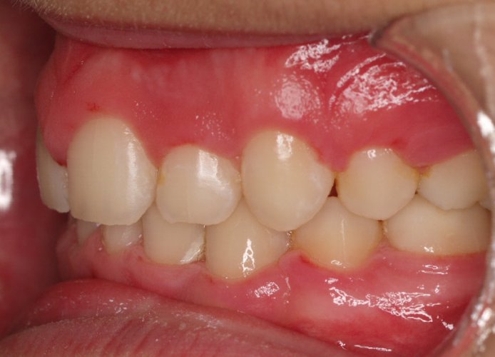
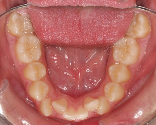
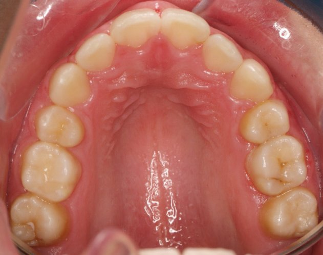
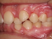
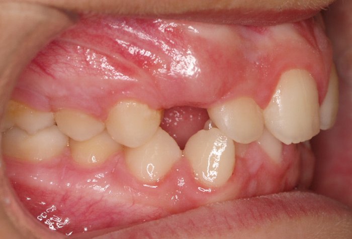
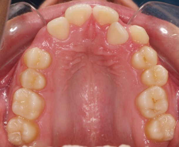
Decidimos extraer los 4 primeros premolares.
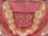
A los dos años quitamos aparatología fija y la paciente entra en fase de contención encantada con su nueva sonrisa.
Lleva férulas ESSIX a la noche más una contención fija inferior de canino a canino.






