Posts Tagged ‘apiñamiento’
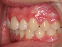
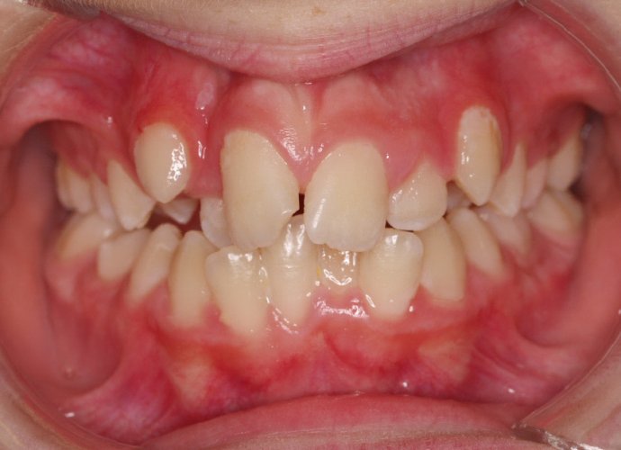
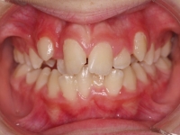
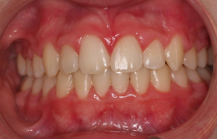
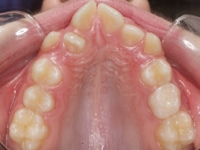
Paciente de 15 años “no le gusta su sonrisa”. La paciente presenta:
- Clase I esquelética con tendencia a Clase III
- Clase I molar
- Perfil con protusión mandibular
- Laterales enanos
- Apiñamiento
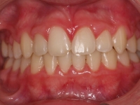
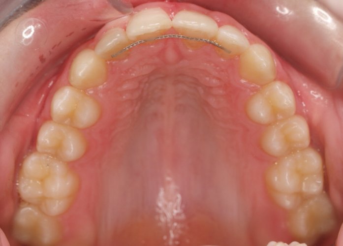
El tratamiento se hizo con brackets de autoligado y tuvo una duración de año y medio. Al finalizar, su dentista le hizo reconstrucción con carillas de los incisivos laterales 12.22.
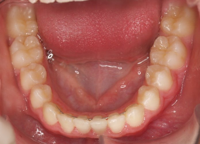
Ahora la paciente está en contención con férulas superior e inferior más contención fija inferior.
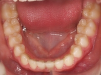
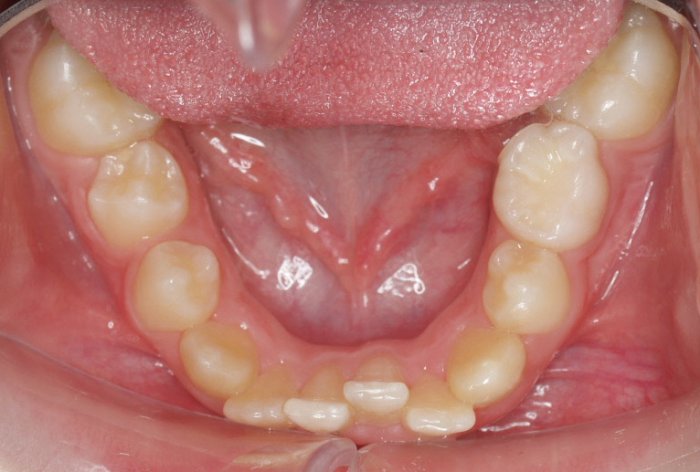
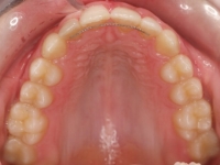
Paciente de 13 años que presenta sonrisa disarmónica.
- Clase I esquelética
- Clase I molar
- DDM +++ anterior
- Sobremordida
Decidimos extraer los 4 primeros premolares.
A los dos años quitamos aparatología fija y la paciente entra en fase de contención encantada con su nueva sonrisa.
Lleva férulas ESSIX a la noche más una contención fija inferior de canino a canino.
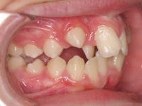
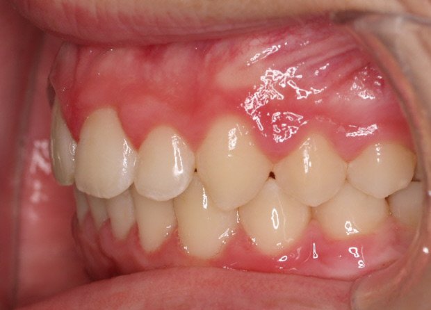
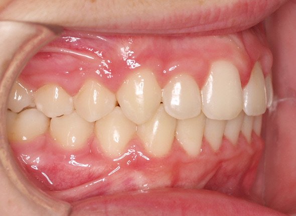
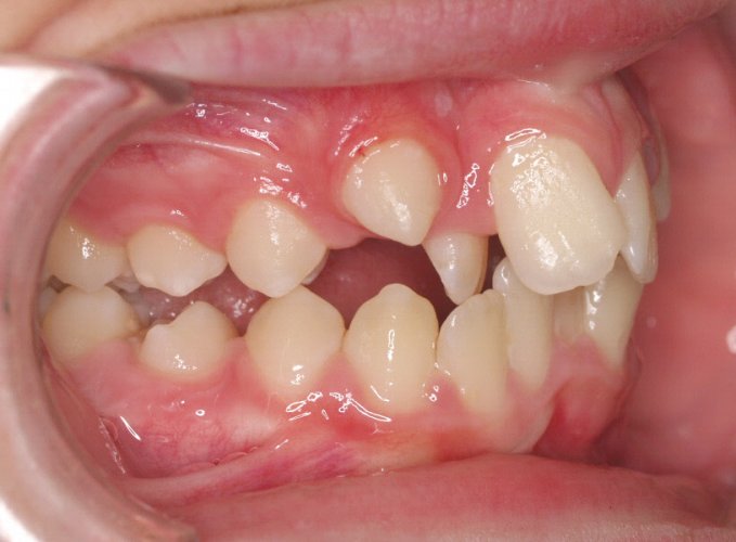
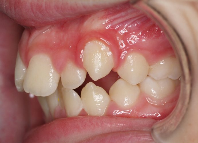
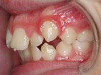
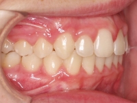
El paciente A.J. de 11 años, acude a nuestra consulta con apiñamiento maxilar importante. El canino lateral (12) está en mordida cruzada. Presenta una Clase II molar y canina, y la línea media está desviada. Se realizó un tratamiento con brackets autoligables metálicos de smartclip 022. La duración del tratamiento fue de 22 meses.
El paciente actualmente ha terminado el tratamiento con brackets y lleva una contención fija de 2-2 en maxilar y 3-3 en mandibular; para complementar también lleva una férula ESSIX durante la noche.
INICIO FINAL






