Ir al contenido
INICIO
ROUCH GOROSTIDI
PROCESO
CASOS CLÍNICOS
TRATAMIENTOS
CONTACTO
FAQ
INICIO
ROUCH GOROSTIDI
PROCESO
CASOS CLÍNICOS
TRATAMIENTOS
CONTACTO
FAQ
SI SUEÑAS CON UNA BONITA SONRISA, HAZLO REALIDAD
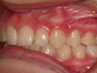
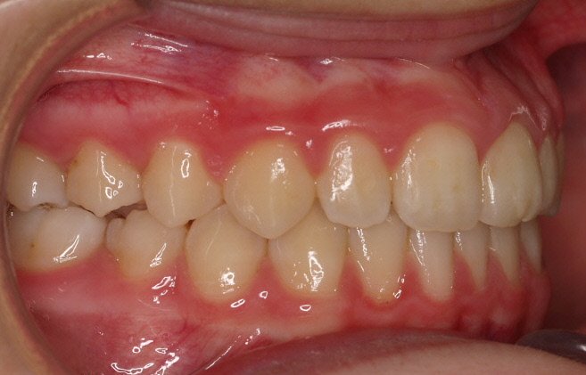
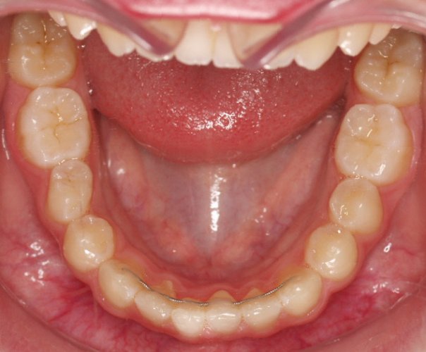
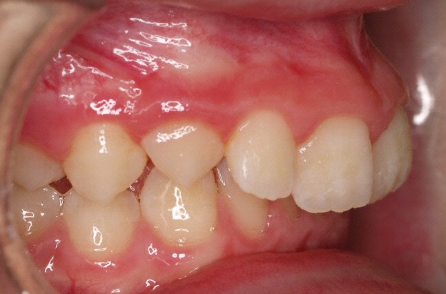
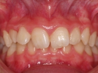
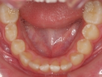
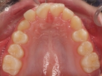
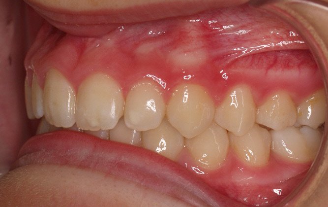
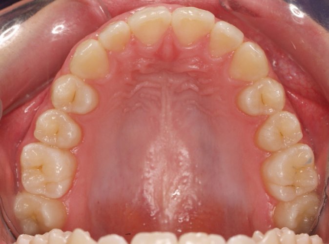
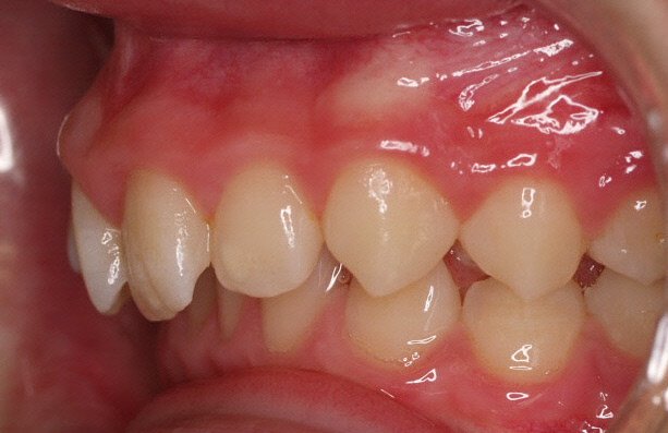
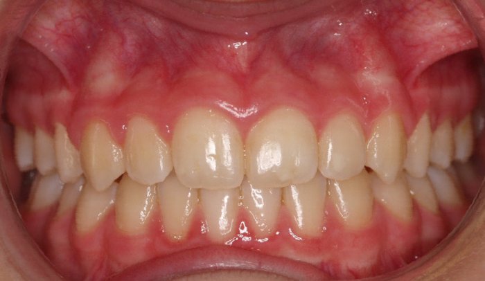
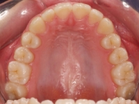
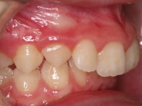
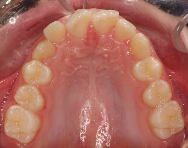
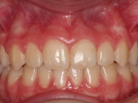
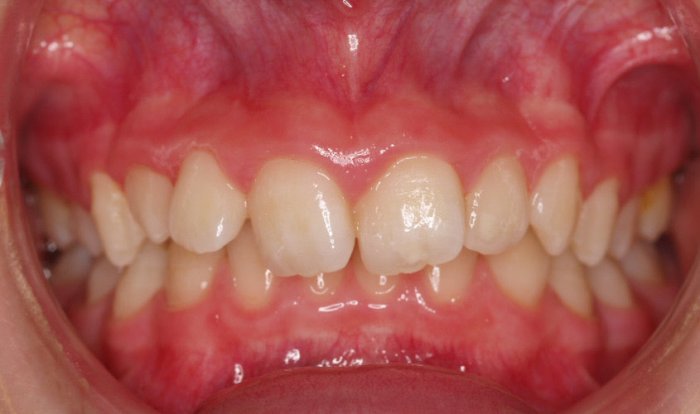
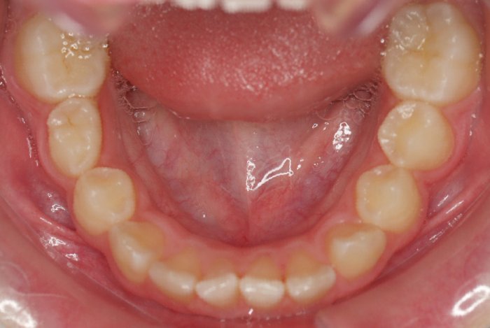
Paciente de Clase II
INICIO FIN
Etiquetado
autoligado
,
brackets
,
clase II
,
ortodoncia