Posts Tagged ‘clase II’
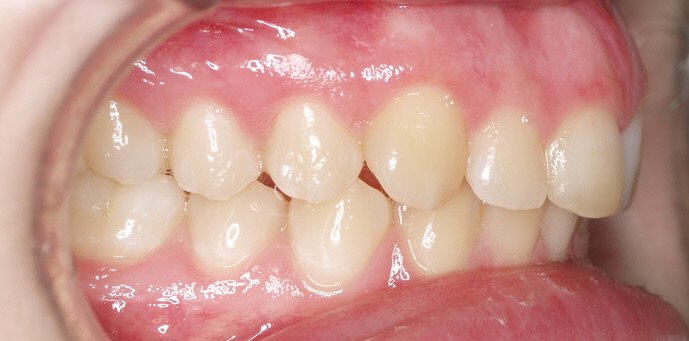
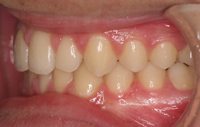
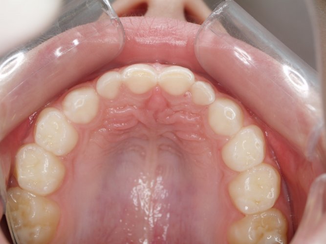
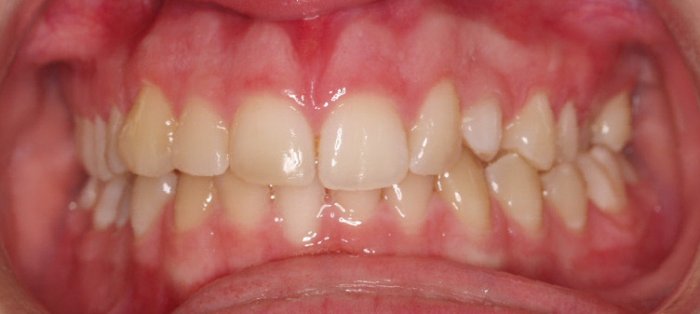
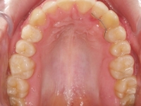
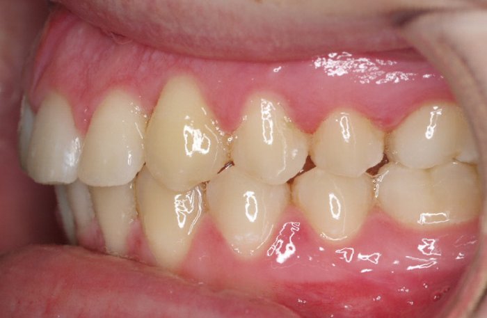
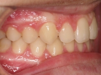
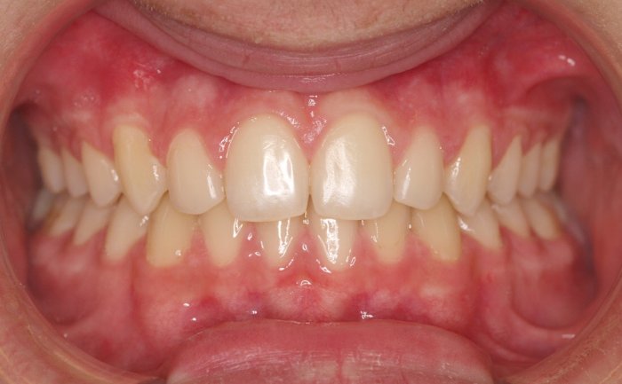
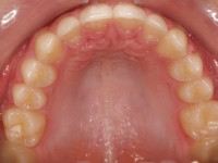
Paciente de 16 años viene a consulta de los Doctores Lahoz y Rouch en Junio de 2015. Nos comenta “me queda el colmillo de leche, ¿qué hacemos?”
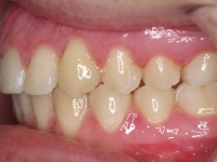
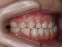
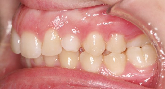
- Clase I esquelética
- Clase II molar / canina
- Canino 23 incluido
- Mordida cruzada 26
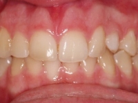
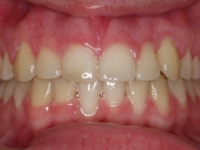
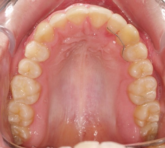
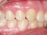
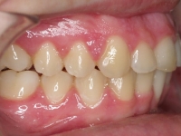
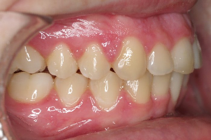
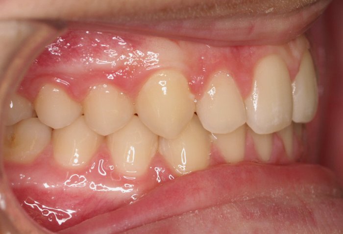
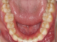
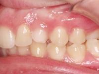
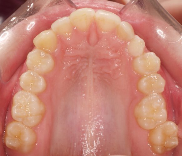
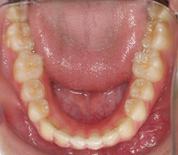
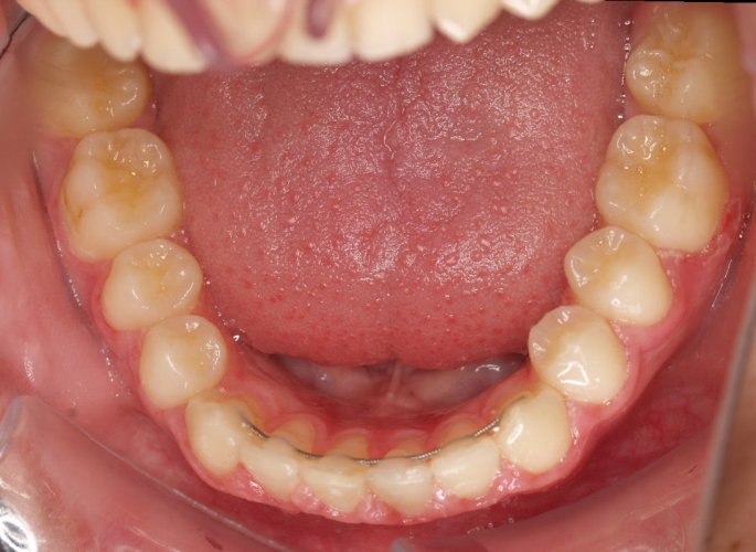
Decidimos colocar aparatología fija superior e inferior, con brackets de autoligado. A los 4 meses del tratamiento se realiza la fenestración del canino incluido. Un años después el colmillo estaba ya en la arcada y después procedemos a corregir la Clase II molar.
Quitamos el aparato en Agosto 2017. Colocamos contención fija en el canino superior y de canino a canino inferior. También lleva unas férulas ESSIX para mantener a la noche.
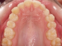
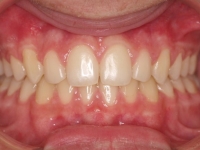
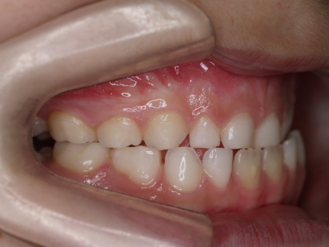
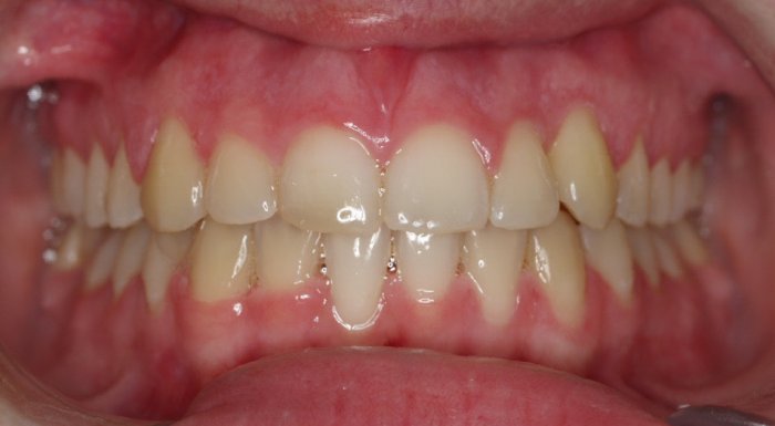
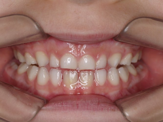
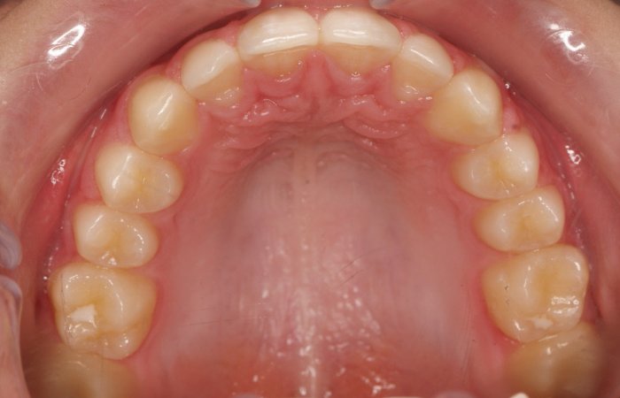
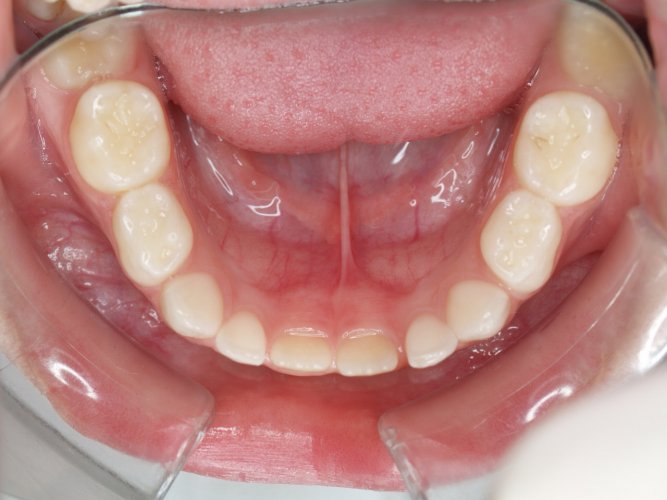
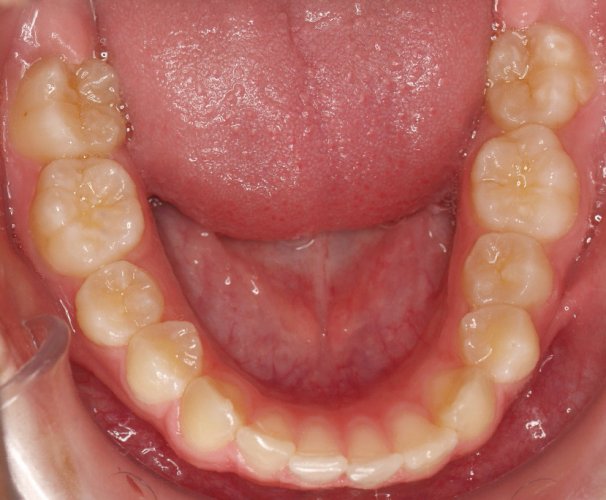
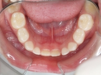
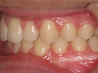
Paciente 7 años en dentición mixta. Los padres consultan por mordida cruzada anterior, así que decidimos hacer un tratamiento en dos fases; la primera interceptiva con una mentonera y la segunda con brackets SMARTCLIP 022 autoligados durante 22 meses.
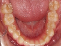
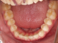
Actualmente el paciente a finalizado el tratamiento con brackets y lleva una contención fija de 3-3 inferior y férula ESSIX superior e inferior.






