Author Archive

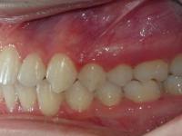
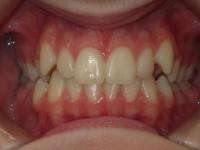
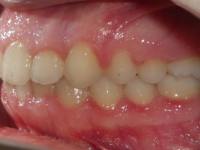
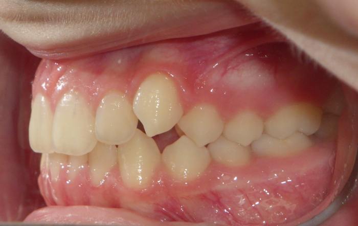
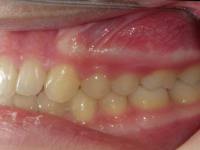
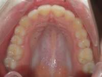
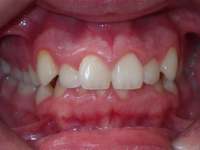
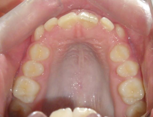
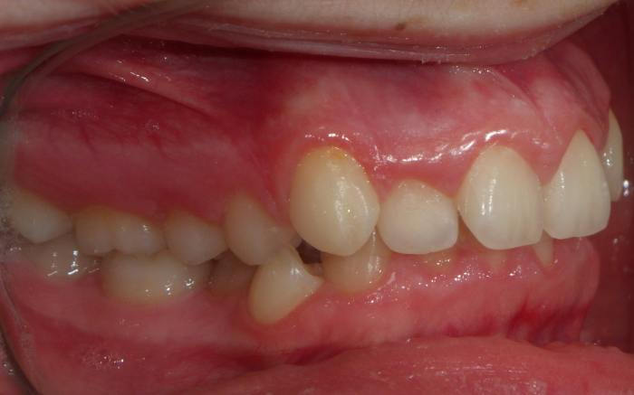
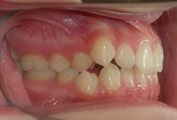
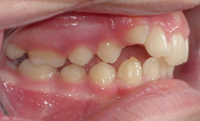
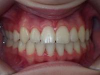
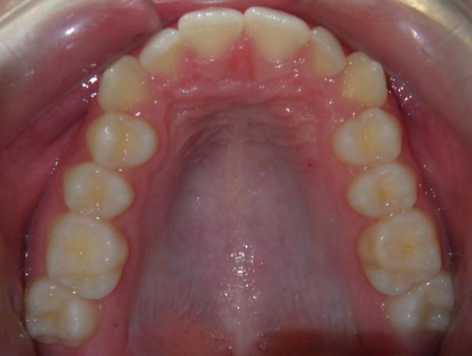
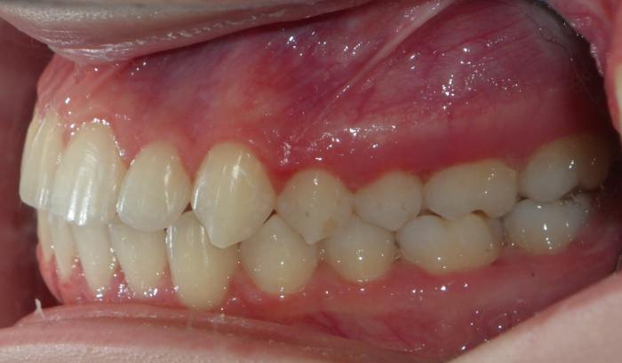
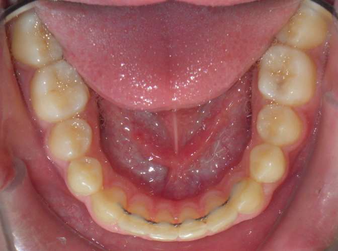
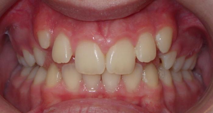
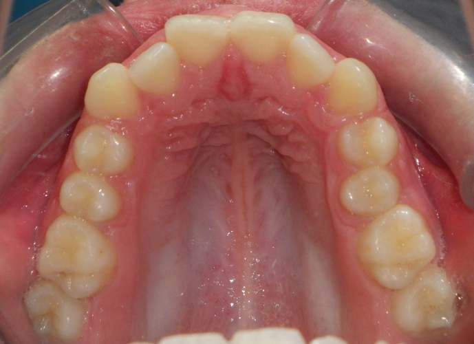
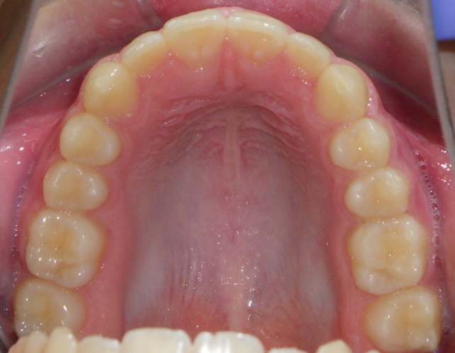
Caninos Ectópicos

May
2025
19

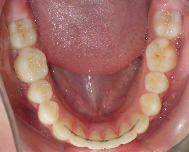
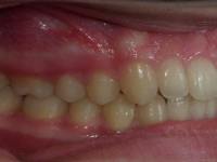
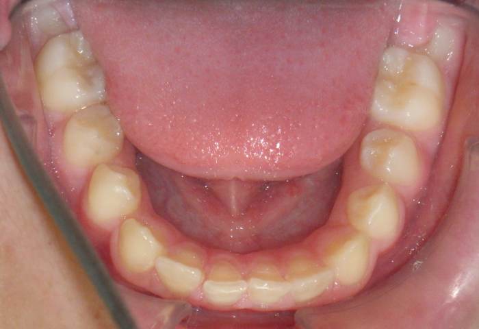
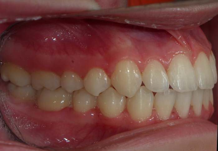
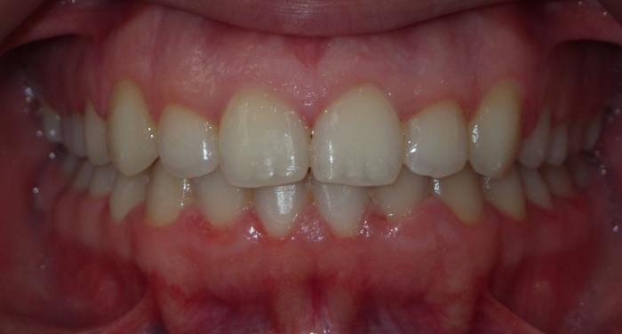
posted by on Casos clínicos

INICIO                 FIN

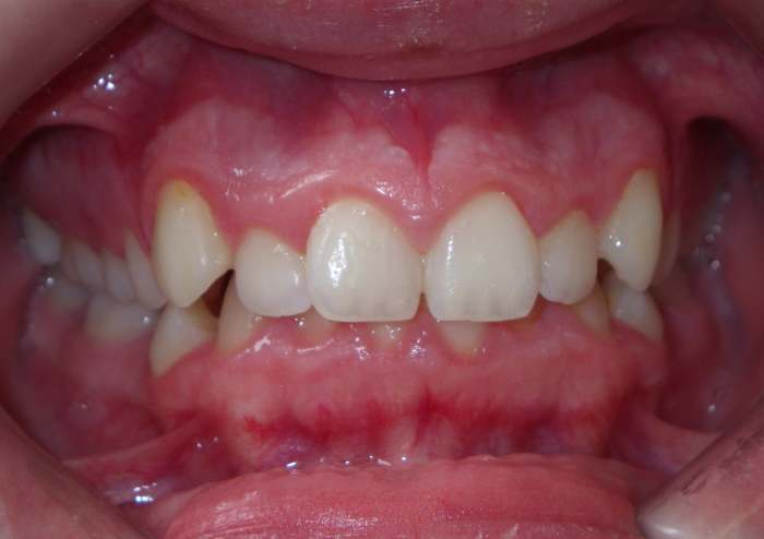
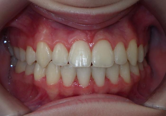
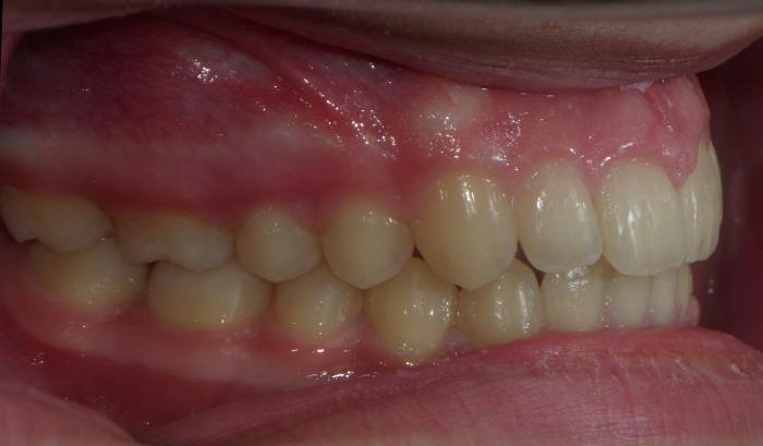
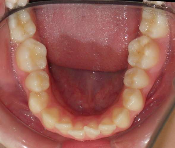
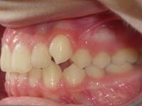
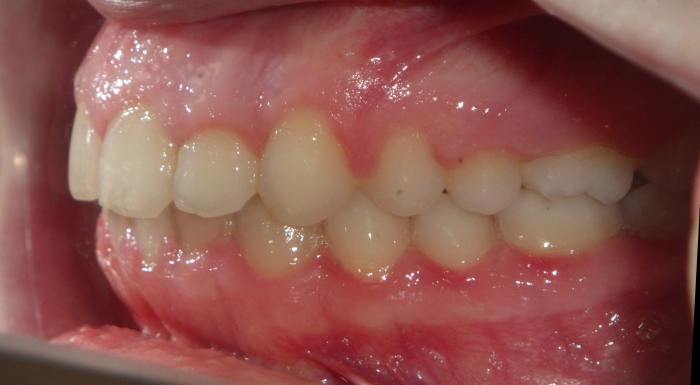
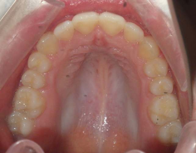
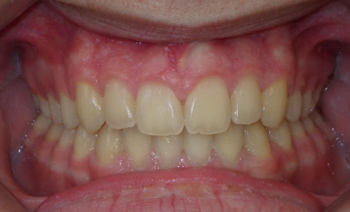
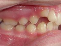
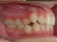
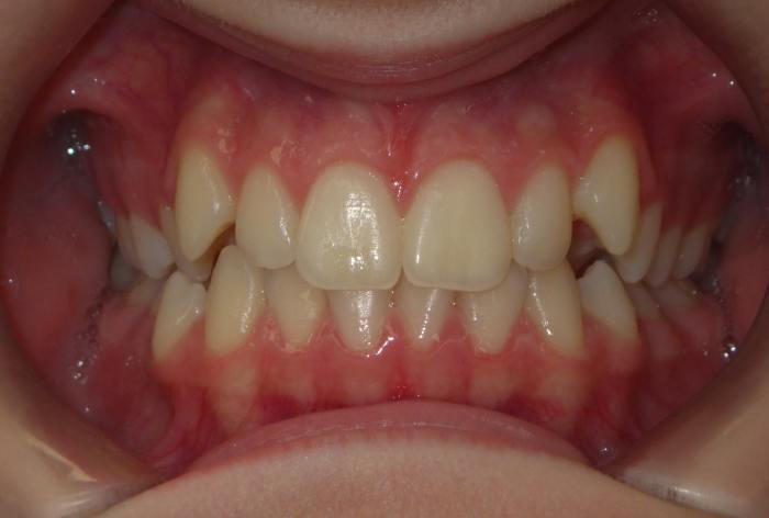
posted by on Casos clínicos

INICIO                  FIN

 

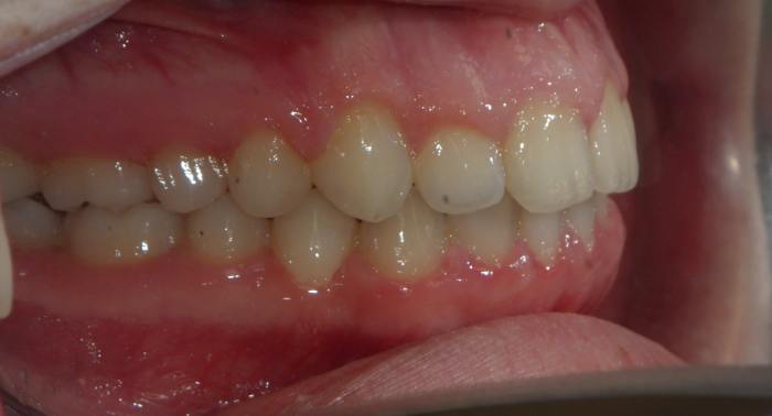
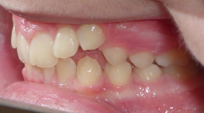
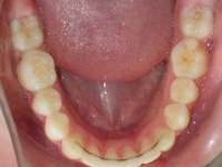
CLII molar DDM

Feb
2025
05

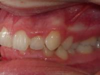
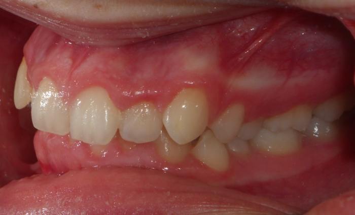
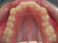
posted by on Casos clínicos

INICIO                       FIN