Author Archive
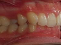
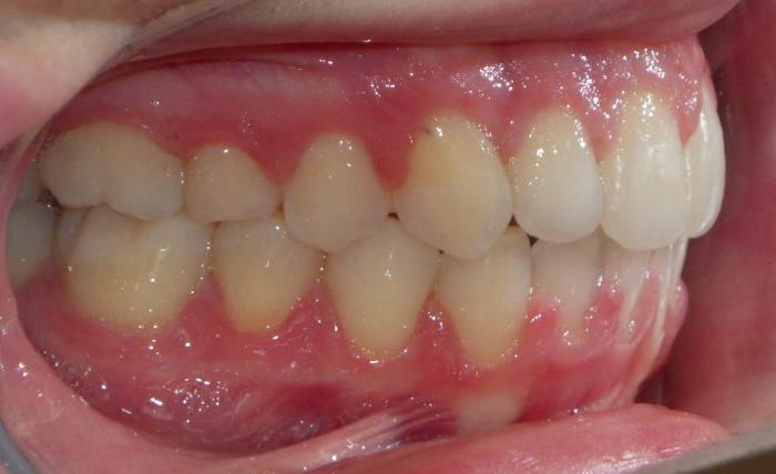
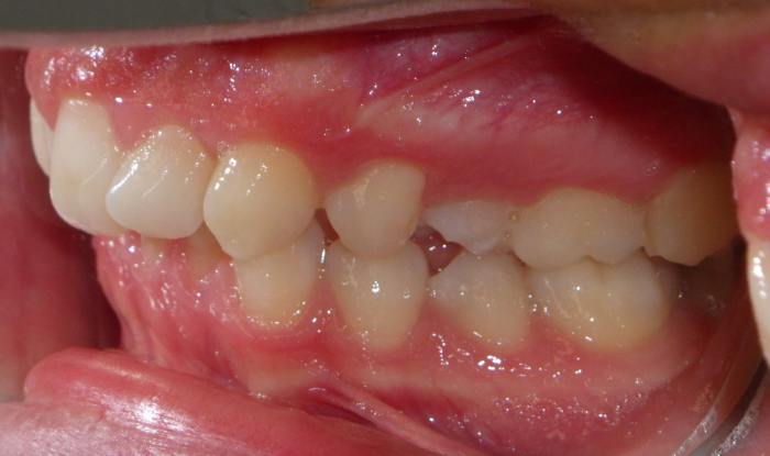
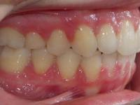
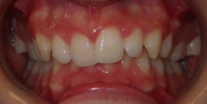
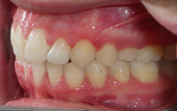
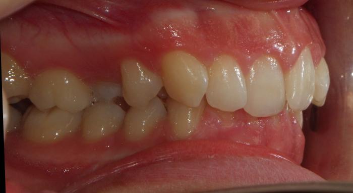
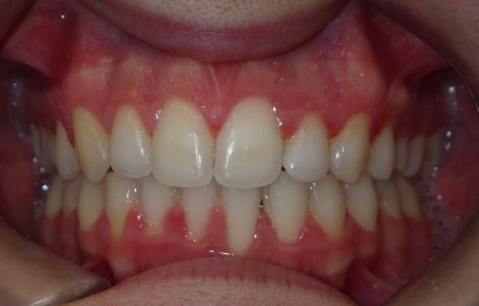
Los brackets y la ortodoncia se utilizan para corregir la “mordedura deficiente” u oclusión dental defectuosa (cuando los dientes están amontonados o torcidos). En algunos casos, los dientes están derechos, pero la mandíbula superior y la inferior no encajan correctamente. Estos problemas de mandíbula o alineación de los dientes pueden ser heredados o podrían ser consecuencia de una lesión, de la pronta o tardía pérdida de dientes, o de chuparse el pulgar.
Si no se corrige una mordedura deficiente, podrían surgir otros problemas de salud bucal, entre ellos:
- Caries dental
- Enfermedad de las encías
- Pérdida de dientes
- Masticación y habla afectadas
- Desgaste inusual del esmalte dental
- Problemas de mandíbula
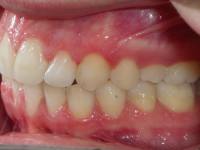
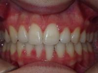
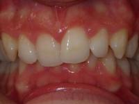
Existen distintas formas de enderezar los dientes. El tipo de tratamiento ortodóntico que siga dependerá de sus preferencias y de las opciones que le proponga su odontólogo u ortodoncista.

Puesto que la mordedura deficiente se puede observar entre los 6 y los 12 años, la ortodoncia a menudo comienza entre los 8 y los 14 años. El hecho de iniciar el tratamiento mientras el niño está creciendo contribuye a generar mejores resultados. Eso no significa que los adultos no puedan tener brackets; los dientes sanos se pueden someter a un tratamiento dental a cualquier edad.
Fuente: www.mouthhealthy.org

¡¡FELIZ HALLOWEEN!!






