Author Archive

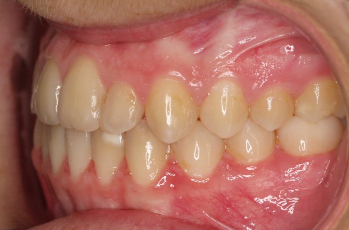
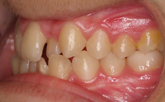
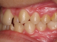
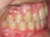
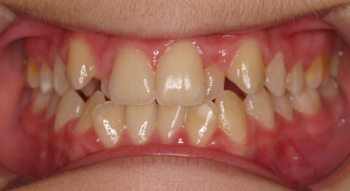
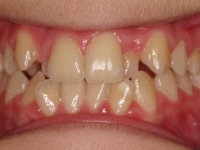
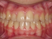
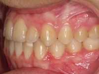
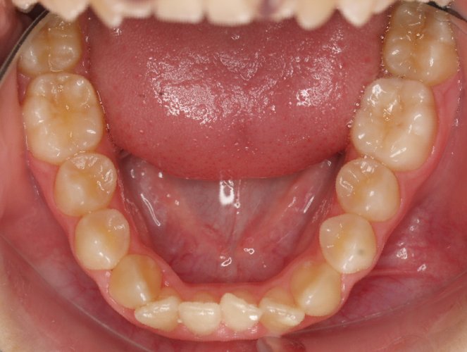
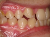
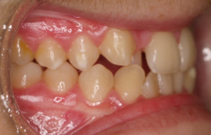
La retracción gingival es una patología que consiste en la pérdida de encía o hueso dejando al descubierto parte de la raíz de los dientes. Dicha patología no solamente tiene consecuencias estéticas sino que también pueda afectar a nuestra salud dental. Las encías forman un sellado que tiene por objetivo proteger al hueso y demás tejidos que sujetan los dientes. Por tanto es un mecanismo de defensa frente al exterior. El proceso de retracción puede producirse a cualquier edad por diferentes motivos.
Aunque es un proceso lento y gradual su resultado es aumentar la sensibilidad dentaldel paciente, ya que la raíz del diente ha quedado expuesta debido a la retracción y es muy sensible a los cambios de temperatura al ingerir alimentos, y aumentar el riesgo de caries dental debido a que la raíz dental es muy susceptible.
El motivo de la retracción de las encías viene dado por diferentes causas aunque algunas de ellas están relacionadas entre sí. Las principales son:
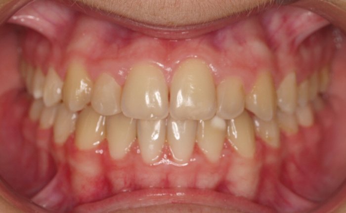
1) Maloclusión o malposición dentaria. El contacto incorrecto entre las arcafas superior e inferior o una mala alienación de los dientes puede producir la retracción de las encías.
2) Bruxismo. El apretamiento involuntario de los dientes promueve la patología.
3) Cepillado agresivo. Si nos cepillamos con fuerza las encías pueden inflamarse y provocar retracción. Hay que promover un cepillado en barrido y no por presión.
4) Gingivitis o periodontitis. Obviamente las enfermedades de las encías provocan inflamación por la placa bacteriana acumulada. Si no se trata a tiempo, produce recesión gingival.
5) Piercings. Según un estudio, más de un tercio de las personas con piercings en la boca experimientan recesión gingival. Hay que ser conscientes de que la encía no vuelve a crecer y que para corregir el defecto estético que produce la retracción es necesario realizar un injerto gingival.
También existe otro tratamiento llamado microcirugía periodontal que permite cubrir la encía a partir de la reuitlización de tejidos propios del paciente o de un biomaterial conocido como matriz dérmica acelular (biomaterial).








