Author Archive

posted by on Casos clínicos

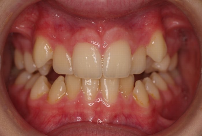
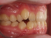
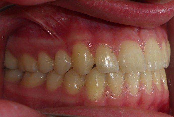
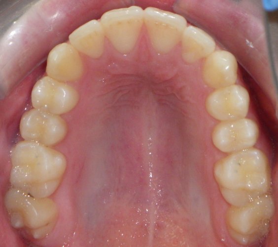
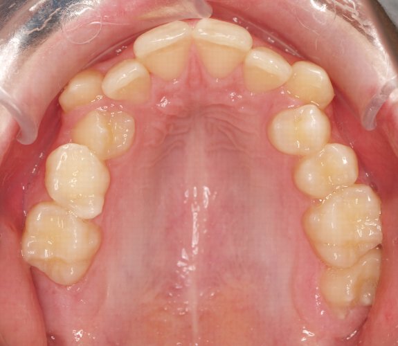
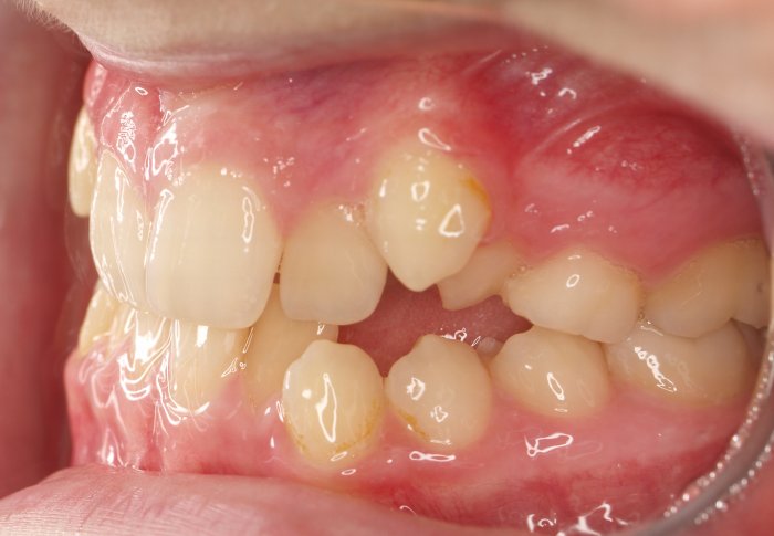
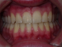
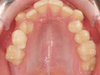
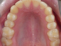
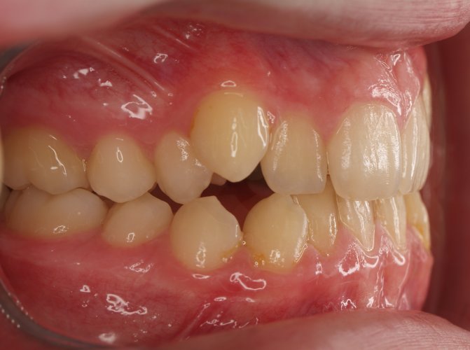
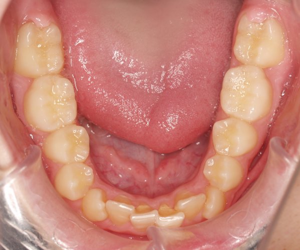
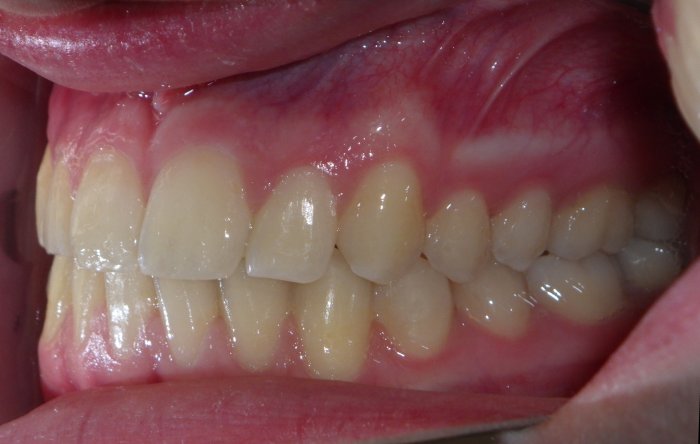
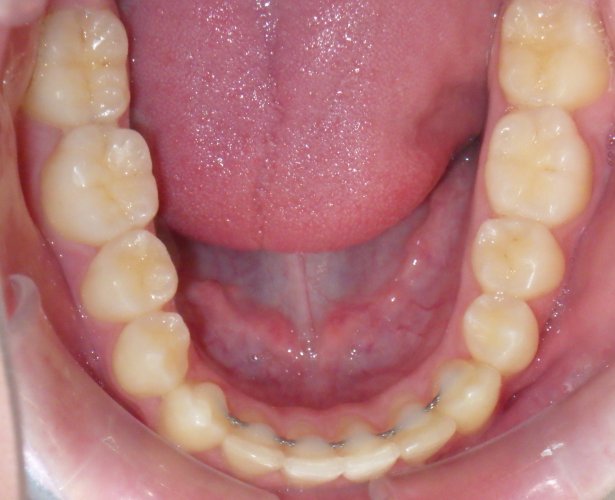
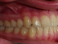
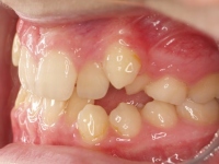
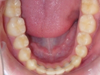
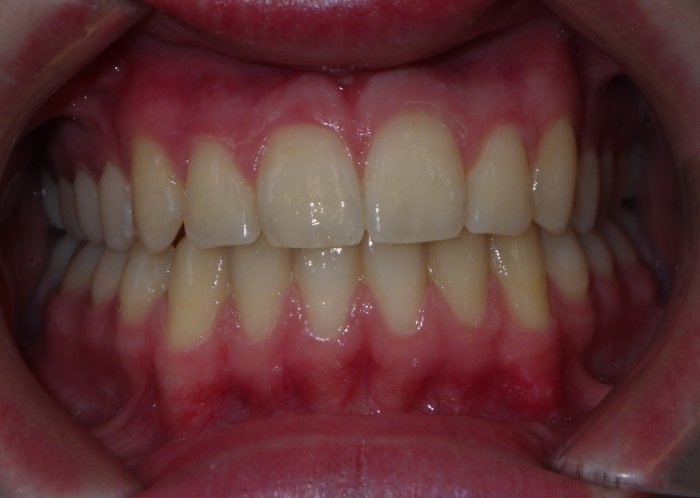
INICIO                                             FIN

posted by on blog

El próximo fin de semana Viernes 1 de Abril de 2022 y Sabado 2 de Abril de 2022 se celebran las novenas jornadas de ALAFINA. Ahí estaremos!

Salud bucodental

Mar
2022
09

posted by on blog