Author Archive
La sensibilidad dental es el dolor dental intenso y transitorio causado por la exposición de la dentina, la parte interna del diente. La sensibilidad dental se produce cuando ésta, que se encuentra protegida por la encía, el cemento radicular y el esmalte dental, pierde su protección natural y queda al descubierto. Cuando esto sucede y la dentina contacta con alimentos o bebidas frías, calientes, ácidas, dulces, con presión táctil, etc. hace aparición el dolor.
¿Cuáles son las causas?
La sensibilidad dental suele estar relacionada con los hábitos diarios de higiene bucal y con tratamientos odontológicos:
- El cepillado dental inadecuado en fuerza y/o frecuencia.
- Pasta dentífrica muy abrasiva.
- Las comidas y bebidas con ácido (zumos de cítricos, refrescos carbónicos, etc.), que provocan descalcificación o erosión del diente.
- La fuerza excesiva de la masticación o los malos hábitos pueden provocar desgastes y exposición dentinaria.
- El tratamiento periodontal, sobre todo la cirugía, puede eliminar parte de la encía dando lugar a la recesión gingival.
- Patologías generales que provocan un medio oral ácido, como las úlceras, la hernia de hiato, etc.; psicológicas (bulimia, anorexia nerviosa) o profesionales (catadores de vinos, panaderos, etc.).
- Como consecuencia de recesiones gingivales causadas por tratamientos odontológicos, como un tratamiento periodontal básico o una ortodoncia.
El dolor de la sensibilidad dental es fácilmente identificable, ya que aparece siempre ante estímulos muy reconocibles: alimentos o bebidas muy frías o muy calientes, consumo de sustancias dulces o ácidas, cepillado de dientes, dolor al respirar aire frío, etc. El dolor que se manifiesta es intenso, muy bien localizado en el diente que lo sufre, de corta duración y sólo se siente mientras actúa el estímulo que lo provoca.
Si el dolor que se produce no se relaciona con un estímulo determinado y/o persiste después de que éste cese o no se localiza bien, probablemente la causa no sea sensibilidad dental y podría deberse a la existencia de patologías subyacentes, como caries o enfermedad de las encías. Por ello, es importante acudir a la consulta clínica para que el odontólogo pueda realizar una exploración y un diagnóstico preciso.
Fuente: http://www.meduelenlosdientes.com/dientes-sensibles-que-quiere-decir-exactamente-2/
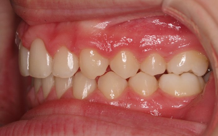
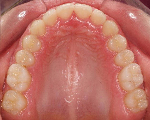
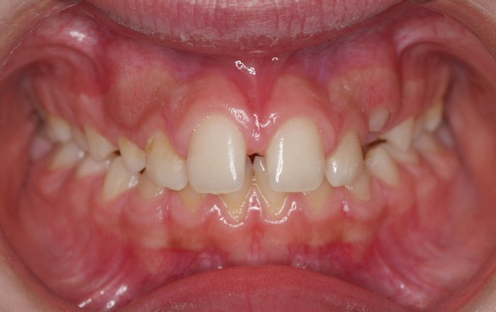
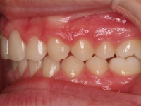
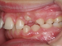
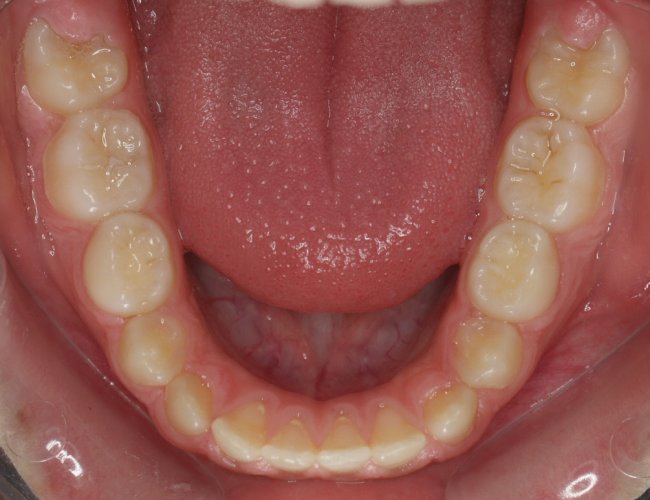
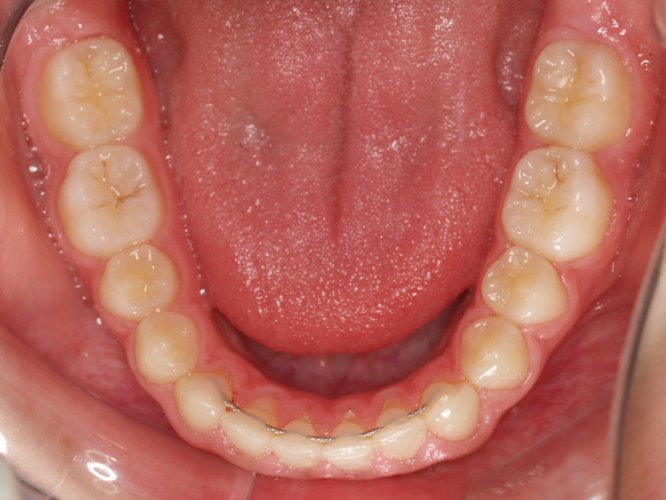
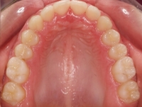
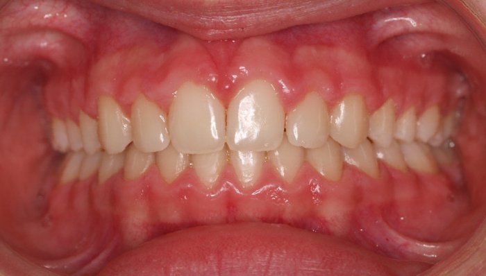
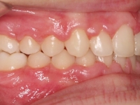
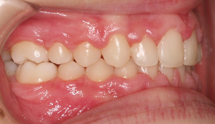
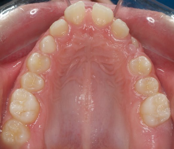
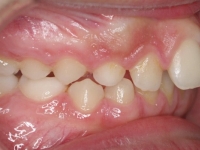
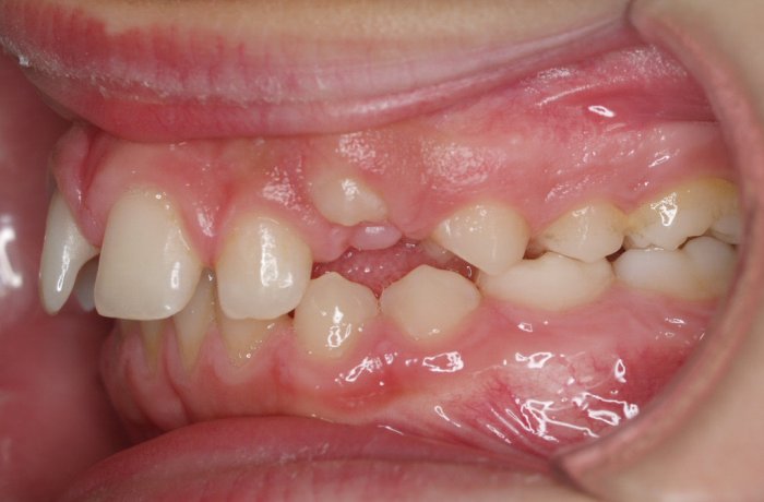
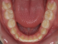
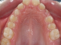
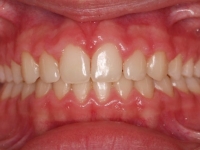
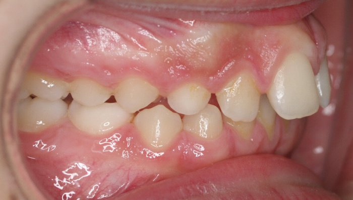
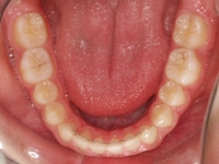
Paciente de 13 años acude a nuestra consulta con forma de arcada en V, dientes superiores proclinados y diastemas. La paciente presenta una CL II/1.
Decidimos colocarle brackets smartclip 0.22 y la duración del tratamiento es de 24 meses.
Actualmente está en fase de contención con férulas Essix superior e inferior y una contención fija inferior.








