Author Archive

posted by on blog

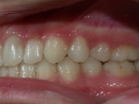
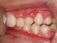
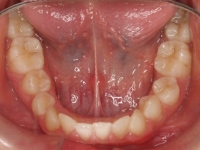
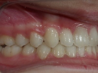
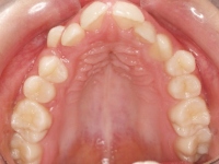
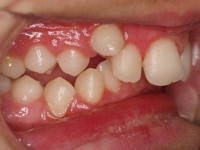
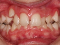
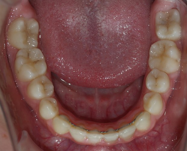
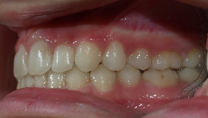
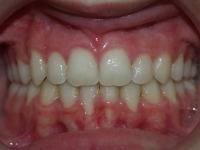
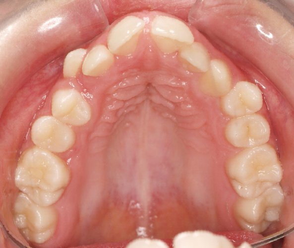
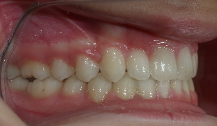
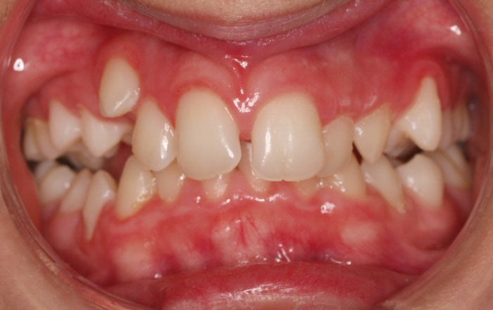
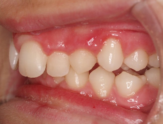
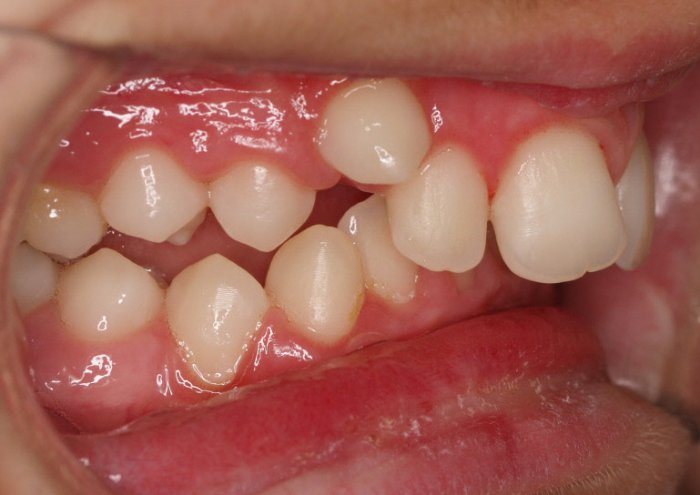
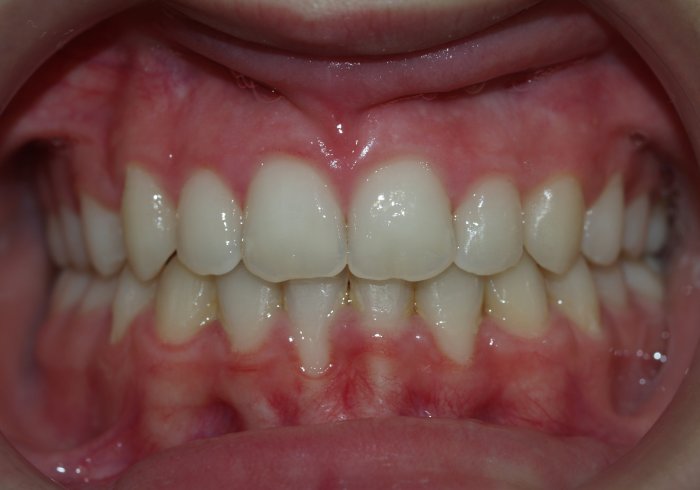
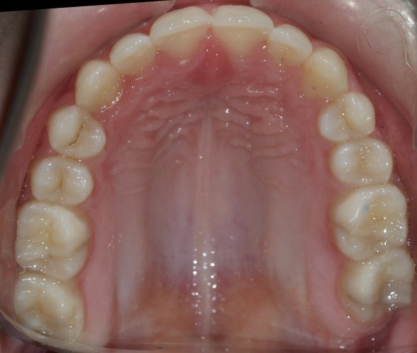
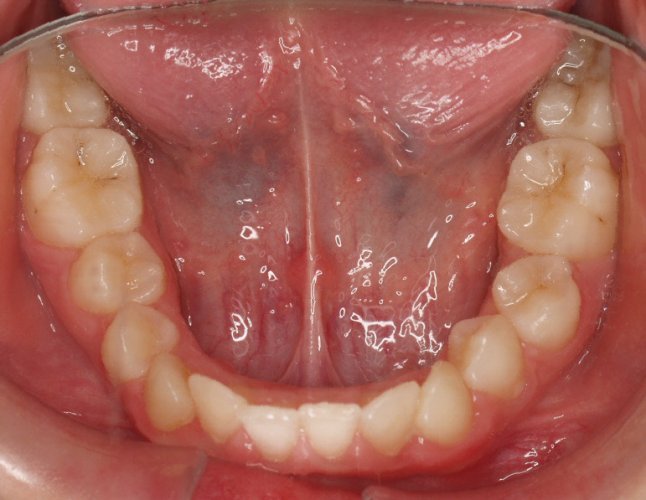
Paciente FULL CL II

Oct
2020
28

posted by on Casos clínicos

posted by on blog

Desde el 11 de Mayo de 2020 hemos vuelto a la actividad con nuevas normas. 

Gracias por vuestra comprensión.