Author Archive
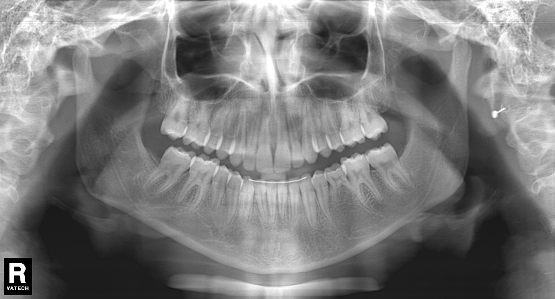
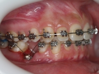
Premolar mandibular incluido + fenestración
45 incluido
Radiografía de final de tratamiento
Te esperamos en nuestra clínica situada en Pio XII, 37 – 2ºB en Pamplona, donde te explicaremos las últimas técnicas y los tratamientos más novedosos.
Tel:948251884






